Pathopic
HiPaKu
ZyPaKu
PathoBasic
PathoBasic Cytology
Quizzes
Projektinfos
PathoPic - Projekt- und Copyright-Info
About
Pathopic
HiPaKu
ZyPaKu
PathoBasic
PathoBasic Cytology
Quizzes
PathoPic – image database
/
PathoPic ID 498 - Amöben
de
Diagnose
Amöben
Diagnose Gruppe
Entzündung infektiös
Topographie
Kolon
Topographie Gruppe
Darm, Anus
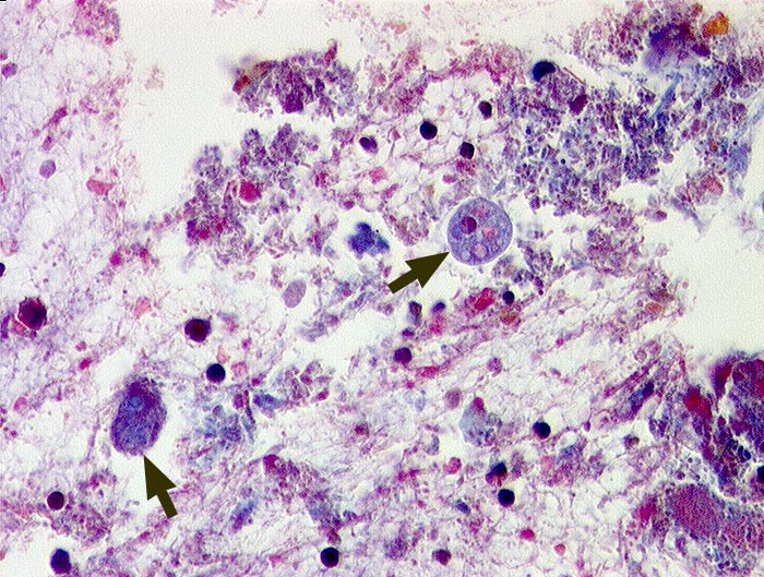
Beschreibung
Im Schleim, welcher dem Kolon aufgelagert ist, liegen
►
Amöben mit feinkörnigem hellblauem Zytoplasma und kleinem rundem Kern. Einer davon mit phagozytierten Erythrozyten (Trophozoit Magnaform).
Bilder Typ
Histologie
Geschlecht
weiblich
Datum
Ersteintrag: 09.11.2001
Update: 21.06.2004
CPS
·
©
2024 Institut für Pathologie Basel
/
Dr. med. Katharina Glatz-Krieger
.
·
v2.1