Wichtiger Sicherheitshinweis: Pathorama wurde zwischen dem 26. und 27. Dezember 2025 angegriffen. Falls Sie die Website in diesem Zeitraum besucht haben, lesen Sie bitte die wichtigen Informationen hier:
Zur Information

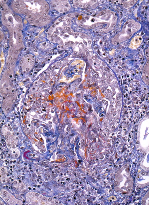
PathoPic – image database / PathoPic ID 5018 - extrakapilläre Glomerulonephritis bei Morbus Wegener

de
Diagnose
extrakapilläre Glomerulonephritis bei Morbus Wegener
Diagnose Gruppe
Systemerkrankung/Immunpathologie
Topographie
Niere
Topographie Gruppe
Niere, Harnwege
Beschreibung
Glomerulum mit Harnpol und Gefässpol mit geringer Arteriolosklerose des Vas afferens. Ausgedehnte Schlingennekrosen mit Exsudation von Fibrin und Ausbildung eines frischen rein proliferativen globalen Halbmondes. Einzelne erhaltene Schlingen sind ausgeweitet. Über der Schlingenruptur ist auch die Bowman'sche Kapsel rupturiert. An dieser Stelle findet sich eine periglomeruläre chronische Entzündung.
Klinik
Rapid progressive Glomerulonephritis mit Entwicklung einer Oligurie innert weniger Tage. Fieber und Nachtschweiss. Chronische Sinusitis. cANCA erhöht.
Bilder Typ
Histologie
Vergrösserung
200
Alter
59
Geschlecht
männlich
Datum
Ersteintrag: 13.06.2002
Update: 28.07.2003