Wichtiger Sicherheitshinweis: Pathorama wurde zwischen dem 26. und 27. Dezember 2025 angegriffen. Falls Sie die Website in diesem Zeitraum besucht haben, lesen Sie bitte die wichtigen Informationen hier:
Zur Information

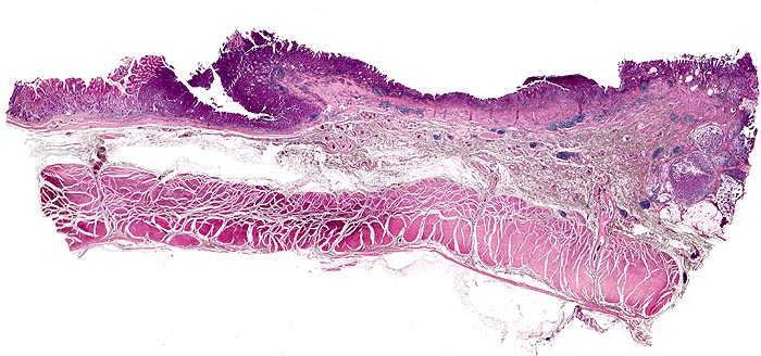
PathoPic – image database / PathoPic ID 5053 - Magenfrühkarzinom

de
Diagnose
Magenfrühkarzinom
Diagnose Gruppe
maligner Tumor
Topographie
Magenantrum
Topographie Gruppe
Oesophagus, Magen
Beschreibung
Das Karzinom befindet sich am rechten Bildrand. Der expansiv wachsende Tumor infiltriert die Submukosa. Die Lamina muscularis propria wird nicht infiltriert. An der Basis zeigt das Karzinom eine ausgeprägte Schleimbildung.
Zusatzbefund
Polypoider Tumor im Magenantrum.
Klinik
Endoskopische Kontrolle bei Patient mit bekannter chronischer Gastritis.
Kommentar
Magenfrühkarzinome sind auf die Mukosa (Mukosatyp) bzw. Submukosa (Submukosatyp) beschränkt entsprechend einem Stadium pT1.
Bilder Typ
Histologie
Vergrösserung
Scan
Alter
68
Geschlecht
unbekannt
Datum
Ersteintrag: 05.07.2002