Wichtiger Sicherheitshinweis: Pathorama wurde zwischen dem 26. und 27. Dezember 2025 angegriffen. Falls Sie die Website in diesem Zeitraum besucht haben, lesen Sie bitte die wichtigen Informationen hier:
Zur Information

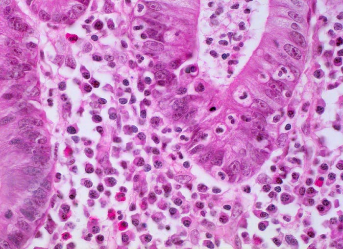
PathoPic – image database / PathoPic ID 5080 - Colitis ulcerosa: Kryptitis

de
Diagnose
Colitis ulcerosa: Kryptitis
Diagnose Gruppe
Entzündung / Reparatur
Topographie
Kolon links
Topographie Gruppe
Darm, Anus
Beschreibung
Neutrophile Granulozyten infiltrieren das Kryptenepithel (=Kryptitis). Verdichtetes Entzündungsinfiltrat in der Lamina propria bestehend aus zahlreichen Plasmazellen mit exzentrisch gelagerten Kernen, neutrophilen Granulozyten und eosinophilen Granulozyten. Die Krypte enthält zusätzlich einen Kryptenabszess. Das Kryptenepithel zeigt eine deutlich reduzierte Schleimbildung, das Zytoplasma der Epithelzellen ist basophil und die Kerne zeigen reaktive Atypien (Vergrösserung und Abrundung des Kerns, Hyperchromasie, grosse Nukleolen).
Klinik
Kolektomie wegen chronischer therapierefraktärer Kolitis.
Bilder Typ
Histologie
Vergrösserung
400
Alter
34
Geschlecht
männlich
Datum
Ersteintrag: 06.07.2002