PathoPic – image database / PathoPic ID 5309 - noduläre Fasziitis

de
Diagnose
noduläre Fasziitis
Diagnose Gruppe
Entzündung / Reparatur
Topographie
Weichteile Bein
Topographie Gruppe
Weichteile
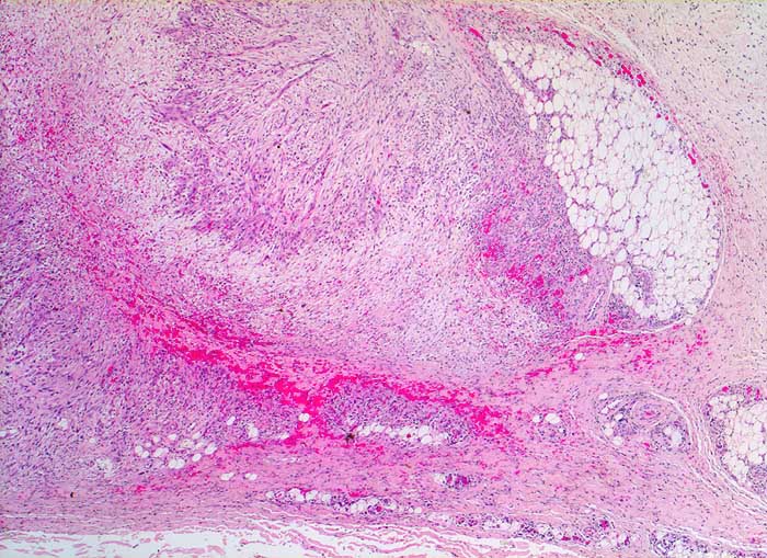
Beschreibung
Einer Faszie aufsitzende etwas unscharf begrenzte Läsion im Fettgewebe mit alternierend hellen ödematösen Zonen angrenzend an Zonen, die an Granulationsgewebe erinnern.
Klinik
Rasch gewachsener subkutaner Knoten suprapatellär rechts. Durchmesser 1cm.
Kommentar
Eine der häufigsten Sarkomfehldiagnosen. Im Gegensatz zu den meisten Sarkomen sehr rasches Wachstum, keine wesentlichen Zellatypien, oberflächliche Lage
Bilder Typ
Histologie
Vergrösserung
25
Alter
31
Geschlecht
männlich
Datum
Ersteintrag: 19.11.2002