Pathopic
HiPaKu
ZyPaKu
PathoBasic
PathoBasic Cytology
Quizzes
Projektinfos
PathoPic - Projekt- und Copyright-Info
About
Pathopic
HiPaKu
ZyPaKu
PathoBasic
PathoBasic Cytology
Quizzes
PathoPic – image database
/
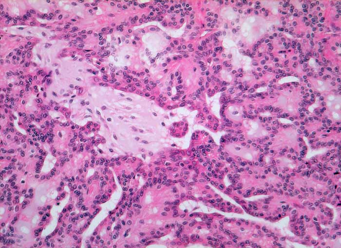
PathoPic ID 5443 - pleomorphes Adenom
de
Diagnose
pleomorphes Adenom
Diagnose Gruppe
benigner Tumor
Topographie
Parotis
Topographie Gruppe
Kopf & Hals, Sinnesorgane
Beschreibung
Spindelförmige und ovale Zellen bilden drüsenartige Strukturen, die von reichlich Stroma umgeben sind. Kerne der Epithelzellen gleichförmig rundlich bis oval, ohne Atypien.
Zusatzbefund
-
Bilder Typ
Histologie
Vergrösserung
160
Alter
53
Geschlecht
unbekannt
Datum
Ersteintrag: 24.11.2002
Update: 21.12.2007
CPS
·
©
2024 Institut für Pathologie Basel
/
Dr. med. Katharina Glatz-Krieger
.
·
v2.1