Wichtiger Sicherheitshinweis:
Pathorama wurde zwischen dem
26. und 27. Dezember 2025
angegriffen. Falls Sie die Website in diesem Zeitraum besucht haben, lesen Sie bitte die wichtigen Informationen hier:
Zur Information
Pathopic
HiPaKu
ZyPaKu
Projektinfos
PathoPic - Projekt- und Copyright-Info
About
Pathopic
HiPaKu
ZyPaKu
PathoPic – image database
/
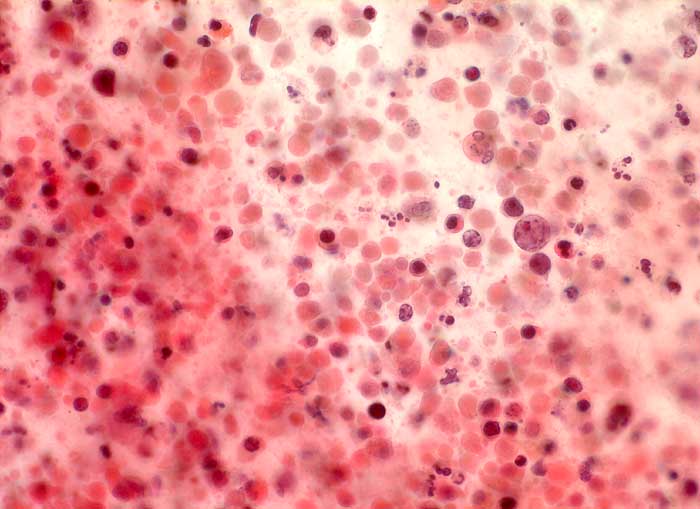
PathoPic ID 5728 - Seminommetastase
de
Diagnose
Seminommetastase
Diagnose Gruppe
maligner Tumor
Topographie
Sputum
Topographie Gruppe
Lunge, Mediastinum mit Thymus
Beschreibung
Zahlreiche nekrotische Zellen.
Eine einzelne nacktkernige vitale Tumorzelle mit grossem rundem Kern und prominentem eosinophilem Nukleolus.
Klinik
Lungenrundherd. Status nach Semikastration wegen Seminom.
Bilder Typ
Zytologie
Vergrösserung
400
Alter
42
Geschlecht
männlich
Datum
Ersteintrag: 29.11.2002
Update: 17.02.2003
CPS
·
©
2025 Institut für Pathologie Basel
/
Dr. med. Katharina Glatz-Krieger
.
·
v2.2