Wichtiger Sicherheitshinweis:
Pathorama wurde zwischen dem
26. und 27. Dezember 2025
angegriffen. Falls Sie die Website in diesem Zeitraum besucht haben, lesen Sie bitte die wichtigen Informationen hier:
Zur Information
Pathopic
HiPaKu
ZyPaKu
Projektinfos
PathoPic - Projekt- und Copyright-Info
About
Pathopic
HiPaKu
ZyPaKu
PathoPic – image database
/
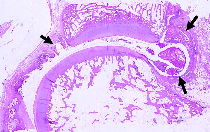
PathoPic ID 573 - Gicht: Arthritis urica
de
Diagnose
Gicht: Arthritis urica
Diagnose Gruppe
Entzündung / Reparatur
Topographie
Gelenk, untere Extremität
Topographie Gruppe
Knochen, Knorpel, Gelenke
Beschreibung
Zehengrundgelenk: Erhaltener Gelenkknorpel. Ablagerungen von
►
Uratkristallen in der Synovialis.
Klinik
Akute Gonarthritis urica. Diabetes mellitus Typ II. Aethylabusus.
Bilder Typ
Histologie
Vergrösserung
Scan
Alter
77
Geschlecht
männlich
Datum
Ersteintrag: 14.11.2001
Update: 25.12.2007
CPS
·
©
2025 Institut für Pathologie Basel
/
Dr. med. Katharina Glatz-Krieger
.
·
v2.2