PathoPic – image database / PathoPic ID 5829 - Adenokarzinom der Lunge: Lymphangiosis carcinomatosa

de
Diagnose
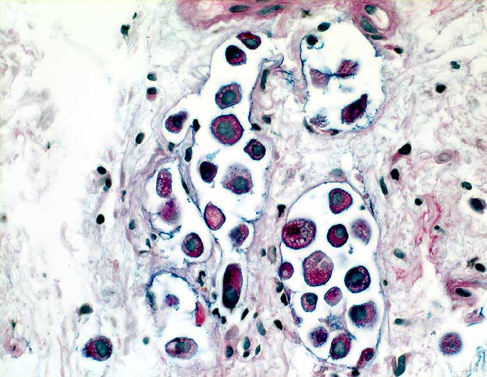
Adenokarzinom der Lunge: Lymphangiosis carcinomatosa
Diagnose Gruppe
maligner Tumor
Topographie
Lunge
Topographie Gruppe
Lunge, Mediastinum mit Thymus
Beschreibung
Einzeln im Lumen von Lymphgefässen liegende Tumorzellen mit reichlich intrazellulärem Schleim.
Zusatzbefund
Autopsiebefund: peripheres Adenokarzinom der Lunge
Klinik
Verdacht auf malignen Pleuraerguss
Bilder Typ
Histologie
Vergrösserung
400
Alter
51
Geschlecht
männlich
Datum
Ersteintrag: 13.12.2002
Update: 08.07.2010