Pathopic
HiPaKu
ZyPaKu
PathoBasic
PathoBasic Cytology
Quizzes
Projektinfos
PathoPic - Projekt- und Copyright-Info
About
Pathopic
HiPaKu
ZyPaKu
PathoBasic
PathoBasic Cytology
Quizzes
PathoPic – image database
/
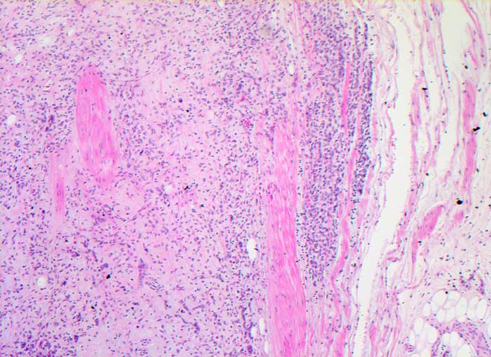
PathoPic ID 5936 - Myxoid/rundzelliges Liposarkom
de
Diagnose
Myxoid/rundzelliges Liposarkom
Diagnose Gruppe
maligner Tumor
Topographie
Weichteile Bein
Topographie Gruppe
Weichteile
Beschreibung
Invasion der
Faszie durch einen rundzelligen unscharf begrenzten unterschiedlich zelldichten Tumor.
Klinik
Weichteiltumor Oberschenkel medial.
Bilder Typ
Histologie
Vergrösserung
50
Alter
55
Geschlecht
unbekannt
Datum
Ersteintrag: 05.01.2003
Update: 17.02.2003
CPS
·
©
2024 Institut für Pathologie Basel
/
Dr. med. Katharina Glatz-Krieger
.
·
v2.1