Wichtiger Sicherheitshinweis: Pathorama wurde zwischen dem 26. und 27. Dezember 2025 angegriffen. Falls Sie die Website in diesem Zeitraum besucht haben, lesen Sie bitte die wichtigen Informationen hier:
Zur Information

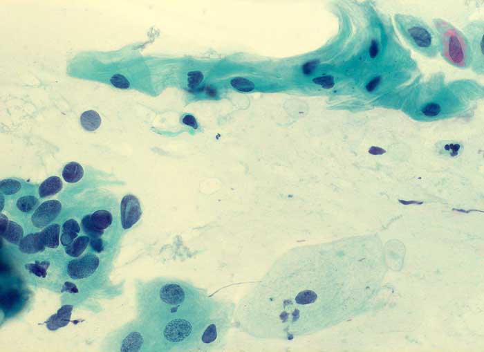
PathoPic – image database / PathoPic ID 6113 - ASCUS

de
Diagnose
ASCUS
Diagnose Gruppe
Präneoplasie/ Atypie/ Dignität?
Topographie
Zervix
Topographie Gruppe
Genitalorgane, weiblich
Beschreibung
Zervixabstrich: hoher Epithelaufbau. Nicht sicher klassifizierbare Plattenepithelien mit vergrösserten hyperchromatischen Kernen und mittelbreitem Zytoplasmasaum.
Zusatzbefund
Keine histologische Untersuchung. Weitere zytologische Kontrollen unverdächtig.
Bilder Typ
Zytologie
Vergrösserung
400
Alter
74
Geschlecht
unbekannt
Datum
Ersteintrag: 21.01.2003
Update: 30.07.2010