Pathopic
HiPaKu
ZyPaKu
Projektinfos
PathoPic - Projekt- und Copyright-Info
About
Pathopic
HiPaKu
ZyPaKu
PathoPic – image database
/
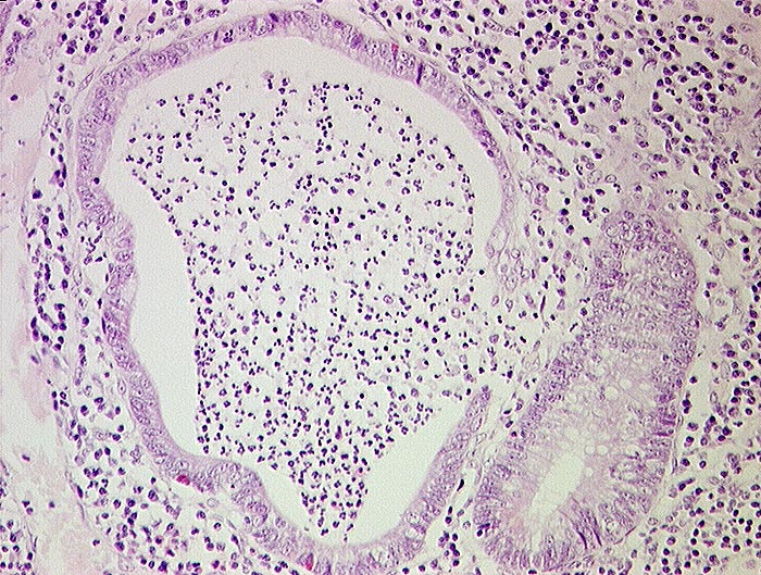
PathoPic ID 616 - Kryptenabszess bei Colitis ulcerosa
de
Diagnose
Kryptenabszess bei Colitis ulcerosa
Diagnose Gruppe
Entzündung / Reparatur
Topographie
Kolon
Topographie Gruppe
Darm, Anus
Beschreibung
Dilatierte Krypte gefüllt mit neutrophilen Granulozyten. Verdichtetes gemischtes Entzündungsinfiltrat im Stroma unter Beteiligung neutrophiler Granulozyten.
Bilder Typ
Histologie
Geschlecht
weiblich
Datum
Ersteintrag: 15.11.2001
CPS
·
©
2025 Institut für Pathologie Basel
/
Dr. med. Katharina Glatz-Krieger
.
·
v2.2