Wichtiger Sicherheitshinweis:
Pathorama wurde zwischen dem
26. und 27. Dezember 2025
angegriffen. Falls Sie die Website in diesem Zeitraum besucht haben, lesen Sie bitte die wichtigen Informationen hier:
Zur Information
Pathopic
HiPaKu
ZyPaKu
Projektinfos
PathoPic - Projekt- und Copyright-Info
About
Pathopic
HiPaKu
ZyPaKu
PathoPic – image database
/
PathoPic ID 6177 - Hyaline Membranenkrankheit (IRDS)
de
Diagnose
Hyaline Membranenkrankheit (IRDS)
Diagnose Gruppe
angeboren /genetisch/Missbildung
Topographie
Lunge
Topographie Gruppe
Paidopathologie
Beschreibung
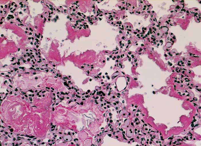
Massive Mekoniumaspiration:
Mekonium in einzelnen Alveolarräumen. Die Alveolarsepten sind austapeziert von PAS positiven
hyalinen Membranen.
Zusatzbefund
Normalgewichtiges Neugeborenes der 37. SSW. Linksbetonte Hypoplasie beider Lungen. Lungen vor allem im alveolären Stadium.
Klinik
Kongenitale beidseitige Diaphragmahernie bekannt seit 24. Schwangerschaftswoche.
Kommentar
Asphyxie bei Hypoplasie beider Lungen.
Bilder Typ
Histologie
Vergrösserung
100
Alter
-37
Geschlecht
unbekannt
Datum
Ersteintrag: 26.01.2003
Update: 28.03.2003
CPS
·
©
2025 Institut für Pathologie Basel
/
Dr. med. Katharina Glatz-Krieger
.
·
v2.2