PathoPic – image database / PathoPic ID 6657 - Sebaceom

de
Diagnose
Sebaceom
Diagnose Gruppe
benigner Tumor
Topographie
Haut, Rumpf
Topographie Gruppe
Haut
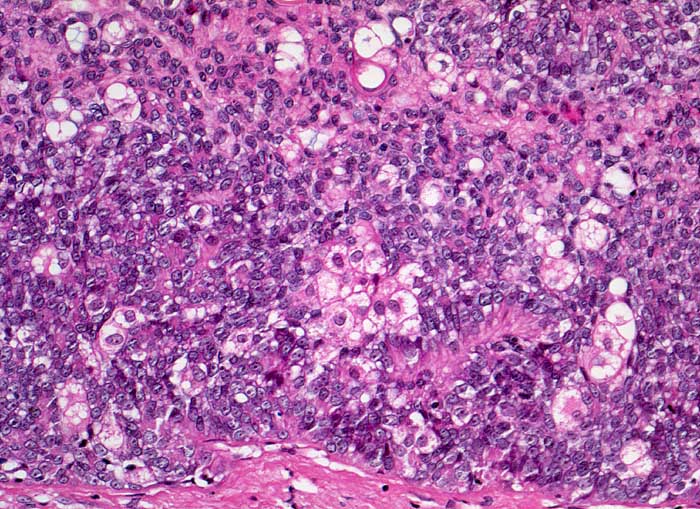
Beschreibung
Grosser solider Verband aus gering differenzierten, monomorphen basaloiden Zellen mit Einschluss von einzelnen Zellen und kleinen Zellgruppen mit breitem, hellem, grob vakuolisiertem Zytoplasma.
Klinik
Leicht vorgewölbter hautfarbener Tumor.
Kommentar
Talgdrüsentumoren sind gehäuft beim Muir-Torre Syndrom. Sebazeome müssen von Talgdrüsenkarzinomen unterschieden werden, die charakterisiert sind durch invasives Wachstum, Zellpleomorphie und Atypie, zahlreiche auch atypische Mitosen und oft Massennekrosen aufweisen.
Bilder Typ
Histologie
Vergrösserung
200
Alter
70
Geschlecht
männlich
Datum
Ersteintrag: 07.07.2003
Update: 27.12.2004