PathoPic – image database / PathoPic ID 6805 - Morphea links, normale Dermis rechts

de
Diagnose
Morphea links, normale Dermis rechts
Diagnose Gruppe
Entzündung / Reparatur
Topographie
Haut, untere Extremität
Topographie Gruppe
Haut
Beschreibung
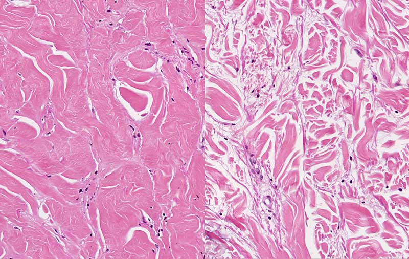
Verdickung, Verplumpung und Hyalinisierung der Kollagenfasern bei der Morphea (links). Normale retikuläre Dermis zum Vergleich rechts.
Klinik
Mehrere indurierte Plaques an den Extremitäten mit weissem Zentrum und violettem Randsaum. Vereinzelt auch bullöse Läsionen.
Kommentar
Die Ursache der Morphea ist unbekannt. Der Plaque Typ der Morphea zeigt einen selbslimitierten Verlauf.
Bilder Typ
Histologie
Vergrösserung
200
Alter
42
Geschlecht
unbekannt
Datum
Ersteintrag: 28.11.2003
Update: 11.12.2003