PathoPic – image database / PathoPic ID 6816 - Arthropodenreaktion: Flammenfigur

de
Diagnose
Arthropodenreaktion: Flammenfigur
Diagnose Gruppe
Entzündung / Reparatur
Topographie
Haut, obere Extremität
Topographie Gruppe
Haut
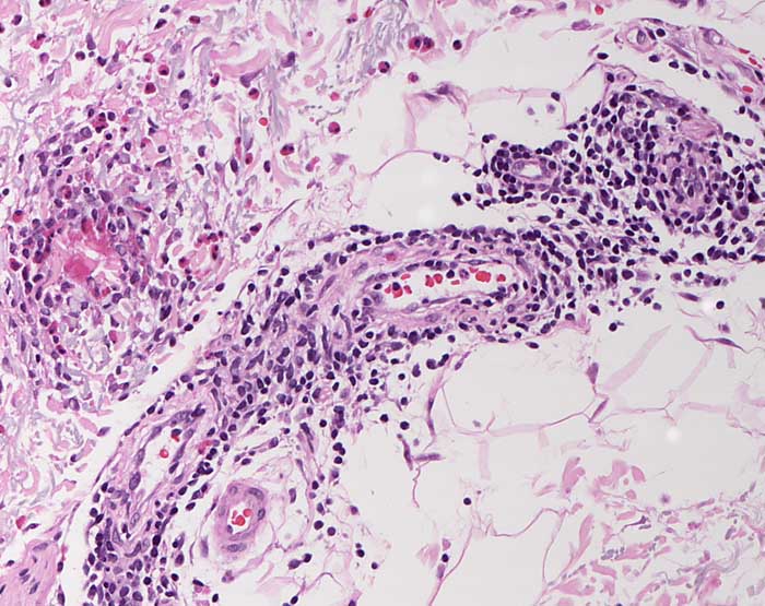
Beschreibung
Bis in die Subkutis reichendes eosinophilenreiches perivaskuläres und interstitielles Infiltrat. Einzelne Plasmazellen. Links im Bild eine Flammenfigur bestehend aus zerfallenden eosinophilen Granulozyten, die um degenerierte Kollagenfasern angeordnet sind.
Klinik
Stark juckende papulovesikulöse Läsionen am Unterarm.
Bilder Typ
Histologie
Vergrösserung
200
Alter
62
Geschlecht
männlich
Datum
Ersteintrag: 28.11.2003
Update: 11.12.2003