PathoPic – image database / PathoPic ID 6982 - Nekrobiotisches Xanthogranulom

de
Diagnose
Nekrobiotisches Xanthogranulom
Diagnose Gruppe
Systemerkrankung/Immunpathologie
Topographie
Haut, Kopf
Topographie Gruppe
Haut
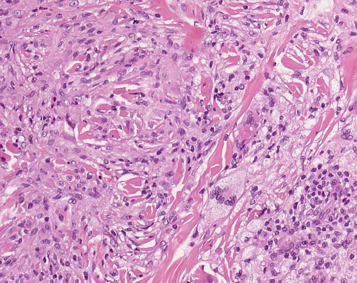
Beschreibung
Diffuses Infiltrat von Histiozyten, Schaumzellen und Touton-Riesenzelle.
Klinik
Paraproteinämie bei multiplem Myelom. Gelbliche Plaques an der Stirn und im Schulterbereich.
Bilder Typ
Histologie
Vergrösserung
200
Alter
58
Geschlecht
unbekannt
Datum
Ersteintrag: 02.12.2003
Update: 15.12.2003