Pathopic
HiPaKu
ZyPaKu
PathoBasic
PathoBasic Cytology
Quizzes
Projektinfos
PathoPic - Projekt- und Copyright-Info
About
Pathopic
HiPaKu
ZyPaKu
PathoBasic
PathoBasic Cytology
Quizzes
PathoPic – image database
/
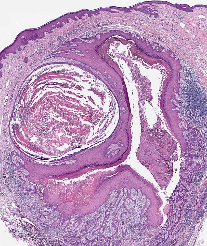
PathoPic ID 7208 - Warziges Dyskeratom
de
Diagnose
Warziges Dyskeratom
Diagnose Gruppe
benigner Tumor
Topographie
Haut, Rumpf
Topographie Gruppe
Haut
Beschreibung
Epithelzyste des Haarinfundibulums mit fokaler Akantholyse. Orthokeratotische Hornmassen.
Klinik
Graue hyperkeratotische Papel mit genabeltem Zentrum am Rücken.
Bilder Typ
Histologie
Vergrösserung
25
Alter
58
Geschlecht
männlich
Datum
Ersteintrag: 17.12.2003
Update: 23.01.2004
CPS
·
©
2024 Institut für Pathologie Basel
/
Dr. med. Katharina Glatz-Krieger
.
·
v2.1