PathoPic – image database / PathoPic ID 7221 - Kaposi Sarkom Patch Stadium

de
Diagnose
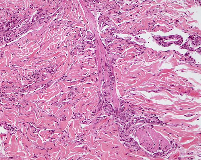
Kaposi Sarkom Patch Stadium
Diagnose Gruppe
maligner Tumor
Topographie
Haut, untere Extremität
Topographie Gruppe
Haut
Beschreibung
Irreguläre zackenförmige von Spindelzellen gesäumte Spalten.
Klinik
Violette Flecken an den unteren Extremitäten.
Bilder Typ
Histologie
Vergrösserung
100
Alter
66
Geschlecht
männlich
Datum
Ersteintrag: 21.12.2003
Update: 22.01.2004