PathoPic – image database / PathoPic ID 7313 - atypisches Fibroxanthom

de
Diagnose
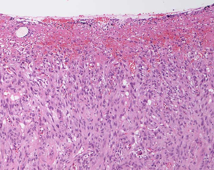
atypisches Fibroxanthom
Diagnose Gruppe
maligner Tumor
Topographie
Haut, Kopf
Topographie Gruppe
Haut
Beschreibung
Breitflächig ulzerierter spindelzelliger Tumor mit einzelnen Mitosen und mässiggradiger Zellpleomorphie.
Klinik
Ulzerierter Tumor am Kopf.
Kommentar
Oberflächliche Variante des malignen fibrösen Histiozytoms. S-100 und Zytokeratin negativ.
Bilder Typ
Histologie
Vergrösserung
100
Alter
82
Geschlecht
unbekannt
Datum
Ersteintrag: 23.12.2003
Update: 21.01.2004