PathoPic – image database / PathoPic ID 7377 - Kaposi Sarkom Patch Stadium

de
Tumorstadium
Diagnose
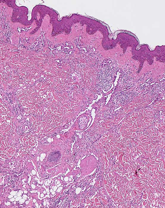
Kaposi Sarkom Patch Stadium
Diagnose Gruppe
maligner Tumor
Topographie
Haut, untere Extremität
Topographie Gruppe
Haut
Beschreibung
Irreguläre, von hyperchromatischen Endothelien gesäumte Spalten in unmittelbarer Nachbarschaft zu den oberen Plexusgefässen und fleckförmiges lymphoplasmazelluläres Infiltrat. Die Spalten sind bevorzugt um Hautadnexe angeordnet ( Promontorium Zeichen). und enthalten teilweise Erythrozyten. Die papilläre Dermis ist weitgehend ausgespart von atypischen Gefässproliferaten.
Klinik
Hellrote Flecken an den unteren Extremitäten.
Bilder Typ
Histologie
Vergrösserung
50
Alter
60
Geschlecht
männlich
Datum
Ersteintrag: 28.12.2003
Update: 27.01.2004