PathoPic – image database / PathoPic ID 7408 - Epitheloides Angiosarkom

de
Diagnose
Epitheloides Angiosarkom
Diagnose Gruppe
maligner Tumor
Topographie
Haut, untere Extremität
Topographie Gruppe
Haut
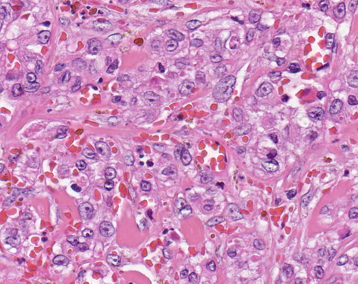
Beschreibung
Irreguläre blutgefüllte Gefässräume ausgekleidet von sehr grossen atypischen epitheloiden Endothelien mit vesikulärem Kern und grossem Nukleolus. Die Gefässlumina der atypischen Gefässe sind kaum erkennbar und können zur Verwechslung mit einem wenig differenzierten Karzinom oder malignen Melanom führen. Siderinablagerungen.
Klinik
Rasch wachsende blaurote Knoten am Unterschenkel.
Kommentar
Das epitheloide Angiosarkom reagiert positiv mit Gefässmarkern und Zytokeratin. Verwechslung mit Karzinommetastasen möglich.
Bilder Typ
Histologie
Vergrösserung
400
Alter
66
Geschlecht
männlich
Datum
Ersteintrag: 29.12.2003
Update: 19.01.2004