PathoPic – image database / PathoPic ID 7767 - Lichen aureus

de
Diagnose
Lichen aureus
Diagnose Gruppe
Entzündung / Reparatur
Topographie
Haut, untere Extremität
Topographie Gruppe
Haut
Beschreibung
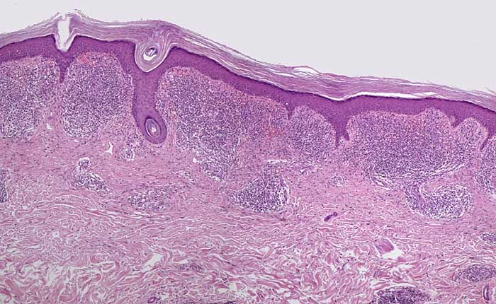
Ausgeprägte Hyperkeratose. Bandartiges lichenoides Infiltrat aus Lymphozyten und Makrophagen und Erythrozytenextravasaten in der oberen Dermis. Unmittelbar unter dem entzündlichen Infiltrat einzelne braune Siderophagen.
Zusatzbefund
Eisenfärbung und Masson Fontana Färbung: die braunen Makrophagen enthalten Eisenpigment.
Klinik
Gruppierte lichenoide gelbbraune Papeln am Unterschenkel.
Kommentar
Der Lichen aureus gehört zur Gruppe der hämorrhagisch pigmentären Dermatosen (chronische Pigmentpurpura), die charakterisiert ist durch Erythrozytenextravasate und Hämosiderinablagerungen. Im Gegensatz zur Stauungsdermatitis sind die Hämosiderinablagerungen bei den pigmentären Dermatosen oberflächlicher.
Bilder Typ
Histologie
Vergrösserung
50
Alter
36
Geschlecht
unbekannt
Datum
Ersteintrag: 05.01.2004
Update: 13.01.2004