Pathopic
HiPaKu
ZyPaKu
PathoBasic
PathoBasic Cytology
Quizzes
Projektinfos
PathoPic - Projekt- und Copyright-Info
About
Pathopic
HiPaKu
ZyPaKu
PathoBasic
PathoBasic Cytology
Quizzes
PathoPic – image database
/
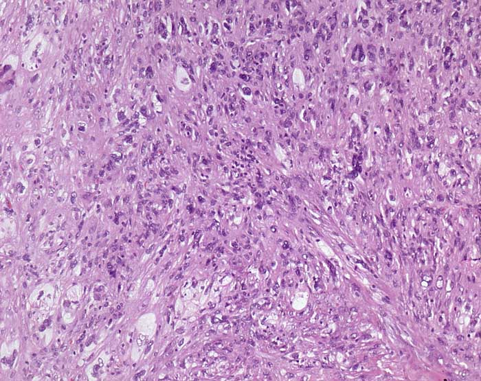
PathoPic ID 7777 - malignes fibröses Histiozytom
de
Diagnose
malignes fibröses Histiozytom
Diagnose Gruppe
maligner Tumor
Topographie
Subkutis
Topographie Gruppe
Haut
Beschreibung
Solider Tumor mit ausgesprochener Pleomorphie. Mehrkernige Zellen. Eine spezifische Pigmentierung ist nicht erkennbar.
Klinik
Subkutaner Tumor.
Bilder Typ
Histologie
Vergrösserung
100
Alter
49
Geschlecht
männlich
Datum
Ersteintrag: 05.01.2004
Update: 13.01.2004
CPS
·
©
2024 Institut für Pathologie Basel
/
Dr. med. Katharina Glatz-Krieger
.
·
v2.1