PathoPic – image database / PathoPic ID 7782 - epidermaler Naevus

de
Diagnose
epidermaler Naevus
Diagnose Gruppe
angeboren /genetisch/Missbildung
Topographie
Haut, Rumpf
Topographie Gruppe
Haut
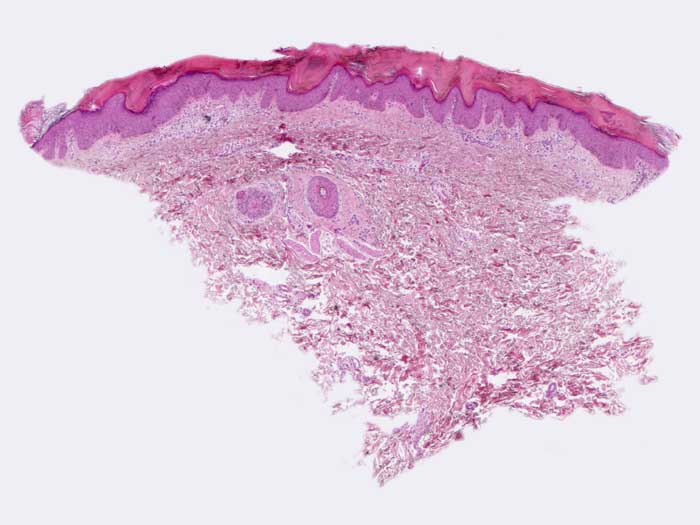
Beschreibung
Orthohyperkeratose mit fokal prominentem Stratum granulosum. Epidermale Hyperplasie mit mässig ausgeprägter Papillomatose.
Klinik
Mehrere graue Plaques mit papillomatöser Oberfläche an der Schulter
Kommentar
Angeborenes oder in der Kindheit auftretendes Hamartom. Epidermale Naevi können einzeln oder in Gruppen bzw. in striärer Ausbreitung entlang der Blaschko Linien auftreten. Es können ein- oder beidseitig mehrere parallel zueinander verlaufende Blaschko Linien Läsionen aufweisen (Naevus unius lateralis bzw. systematisierter epidermaler Naevus)
Bilder Typ
Histologie
Vergrösserung
25
Alter
19
Geschlecht
männlich
Datum
Ersteintrag: 06.01.2004
Update: 13.01.2004