PathoPic – image database / PathoPic ID 7926 - Reflux-Ösophagitis mit Zylinderzellmetaplasie

de
Diagnose
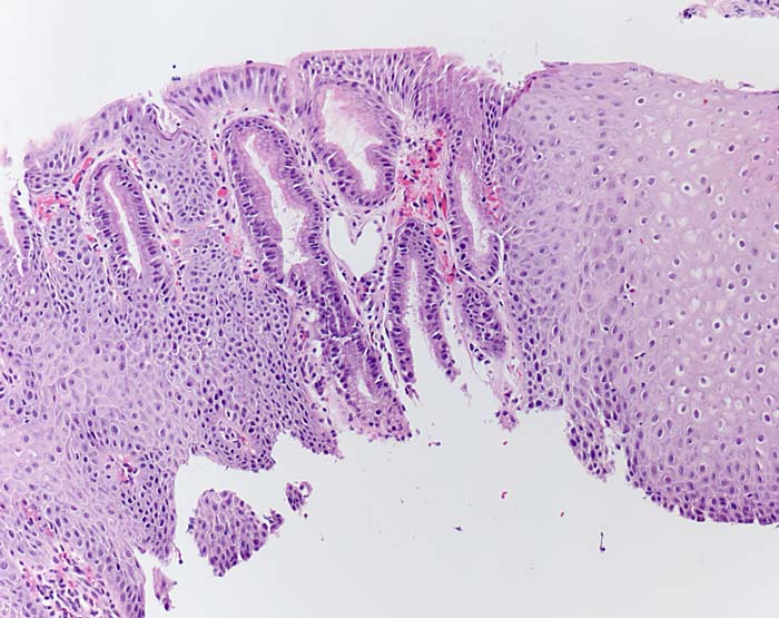
Reflux-Ösophagitis mit Zylinderzellmetaplasie
Diagnose Gruppe
Entzündung / Reparatur
Topographie
Oesophagus, distal
Topographie Gruppe
Oesophagus, Magen
Beschreibung
Die distale Ösophagusschleimhaut zeigt zwischen Plattenepithl eine kurzstreckige Zylinderzellmetaplasie ohne Becherzellen (Schleimhaut vom Kardiatyp ohne Becherzellen oder magenspezifische Drüsen) mit Einblutung. Leichte Hyperplasie der Basalzellen, aber kaum Entzündung.
Klinik
Protonenpumpen-Inhibitor-Medikation. Refluxerkrankung Grad II.
Bilder Typ
Histologie
Vergrösserung
50
Alter
58
Geschlecht
männlich
Datum
Ersteintrag: 20.07.2004
Update: 30.08.2004