Pathopic
HiPaKu
ZyPaKu
PathoBasic
PathoBasic Cytology
Quizzes
Projektinfos
PathoPic - Projekt- und Copyright-Info
About
Pathopic
HiPaKu
ZyPaKu
PathoBasic
PathoBasic Cytology
Quizzes
PathoPic – image database
/
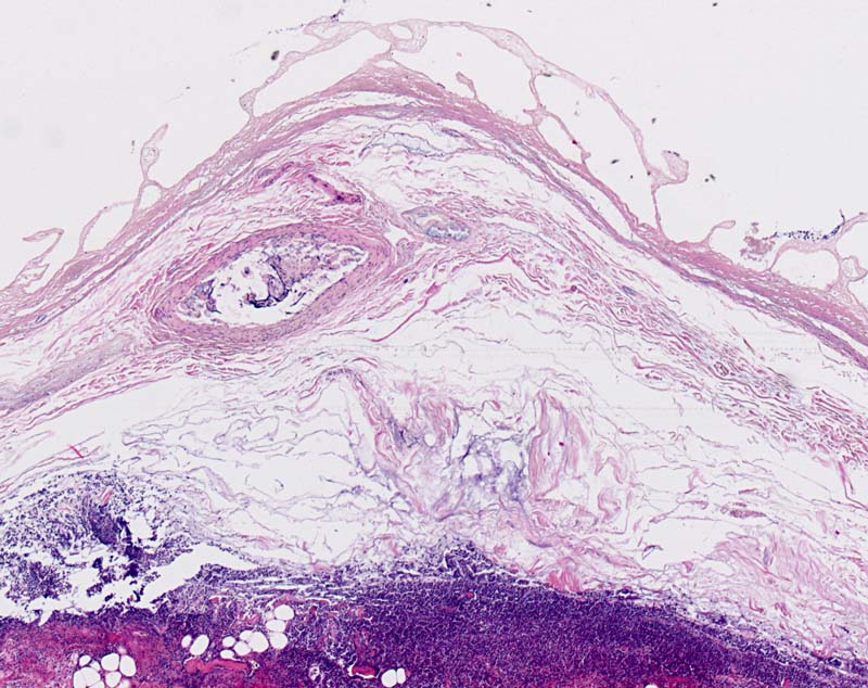
PathoPic ID 8067 - Gangränöse Cholezystitis
de
Diagnose
Gangränöse Cholezystitis
Diagnose Gruppe
Entzündung / Reparatur
Topographie
Gallenblase
Topographie Gruppe
Leber, Gallenwege, Pankreas
Beschreibung
Die Gallenblasenwand ist vollständig nekrotisch und nur noch schattenhaft erkennbar. In den äusseren Wandschichten findet sich ein dichtes bandförmiges Infiltrat aus neutrophilen Granulozyten.
Klinik
Akute Cholezystitis
Bilder Typ
Histologie
Vergrösserung
25
Alter
46
Geschlecht
männlich
Datum
Ersteintrag: 09.12.2004
Update: 22.08.2005
CPS
·
©
2024 Institut für Pathologie Basel
/
Dr. med. Katharina Glatz-Krieger
.
·
v2.1