PathoPic – image database / PathoPic ID 821 - Gutartiger Phylloides Tumor: Stromakomponente

de
Diagnose
Gutartiger Phylloides Tumor: Stromakomponente
Diagnose Gruppe
benigner Tumor
Topographie
Mamma
Topographie Gruppe
Mamma
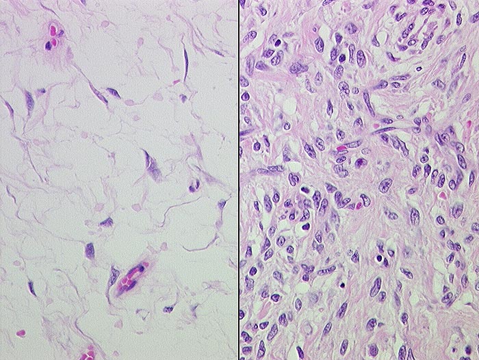
Beschreibung
Zwei verschiedene Stromakomponenten im gleichen Tumor. Links zellarmes myxoides Stroma mit spindeligen Zellen. Rechts zellreiches Areal.
Zusatzbefund
4.5cm grosser derber Tumor. 1-3 Mitosen / HPF.
Klinik
Rezidiv.
Kommentar
Der Phylloides Tumor hat im Gegensatz zum Fibroadenom ein zellreicheres Stroma.
Bilder Typ
Histologie
Vergrösserung
400
Alter
49
Geschlecht
unbekannt
Datum
Ersteintrag: 21.11.2001