Pathopic
HiPaKu
ZyPaKu
Projektinfos
PathoPic - Projekt- und Copyright-Info
About
Pathopic
HiPaKu
ZyPaKu
PathoPic – image database
/
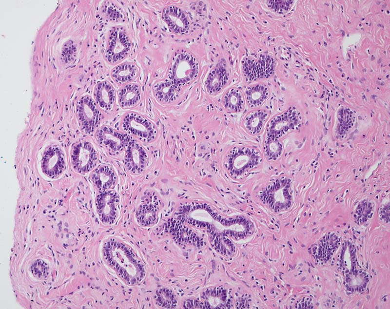
PathoPic ID 8281 - Perikanalikuläres Fibroadenom der Mamma
de
Diagnose
Perikanalikuläres Fibroadenom der Mamma
Diagnose Gruppe
benigner Tumor
Topographie
Mamma
Topographie Gruppe
Mamma
Beschreibung
Scharf begrenzter Tumorknoten bestehend aus bindegewebigem Stroma und glanduläre, nicht komprimierte epitheliale Elemente mit runden bis ovalären Lumina (perikanalikuläres Fibroadenom).
Klinik
V. a. Fibroadenom Mamma links.
Bilder Typ
Histologie
Vergrösserung
100
Alter
21
Geschlecht
unbekannt
Datum
Ersteintrag: 28.03.2005
Update: 14.09.2005
CPS
·
©
2025 Institut für Pathologie Basel
/
Dr. med. Katharina Glatz-Krieger
.
·
v2.2