PathoPic – image database / PathoPic ID 8284 - Zylindrom

de
Diagnose
Zylindrom
Diagnose Gruppe
benigner Tumor
Topographie
Haut, Kopf
Topographie Gruppe
Haut
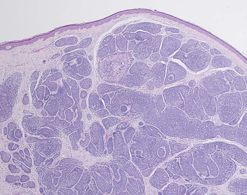
Beschreibung
Dermaler Tumor ohne Beziehung zur Epidermis. Ovale und polygonale mosaikartig angeordnete Tumorzellnester werden eingefasst von von hyalinen Bändern (Typ IV Kollagen). In der Peripherie kleine stark basophile Tumorzellen mit angedeuteter Palisadierung. Im Zentrum etwas grössere blassere Zellen und kleine Lumina.
Klinik
Multiple Zylindrome der behaarten Kopfhaut
Kommentar
Multiple Tumoren werden autosomal dominant vererbt und können im Kopfbereich konfluierende Knoten bilden (sog. Turbantumor).
Bilder Typ
Histologie
Vergrösserung
25
Alter
32
Geschlecht
männlich
Datum
Ersteintrag: 28.03.2005
Update: 14.09.2005