PathoPic – image database / PathoPic ID 829 - Chronische lymphozytäre Entzündung und onkozytäre Metaplasie

de
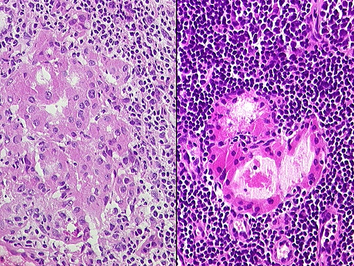
Diagnose
Chronische lymphozytäre Entzündung und onkozytäre Metaplasie
Diagnose Gruppe
Entzündung / Reparatur
Topographie
Schilddrüse
Topographie Gruppe
Endokrinium
Beschreibung
Im lymphozytären Entzündungsinfiltrat eingebettet liegen Follikel mit onkozytärem Epithel (reichlich hypereosinophiles fein granuliertes Zytoplasma). Links der Gefrierschnitt. Rechts der Einbettschnitt.
Kommentar
Die follikuläre Entzündung zusammen mit der onkozytären Metaplasie ist bei entsprechender Klinik vereinbar mit einer Autoimmunthyreoiditis Hashimoto.
Bilder Typ
Schnellschnitt
Alter
42
Geschlecht
unbekannt
Datum
Ersteintrag: 21.11.2001