Pathopic
HiPaKu
ZyPaKu
Projektinfos
PathoPic - Projekt- und Copyright-Info
About
Pathopic
HiPaKu
ZyPaKu
PathoPic – image database
/
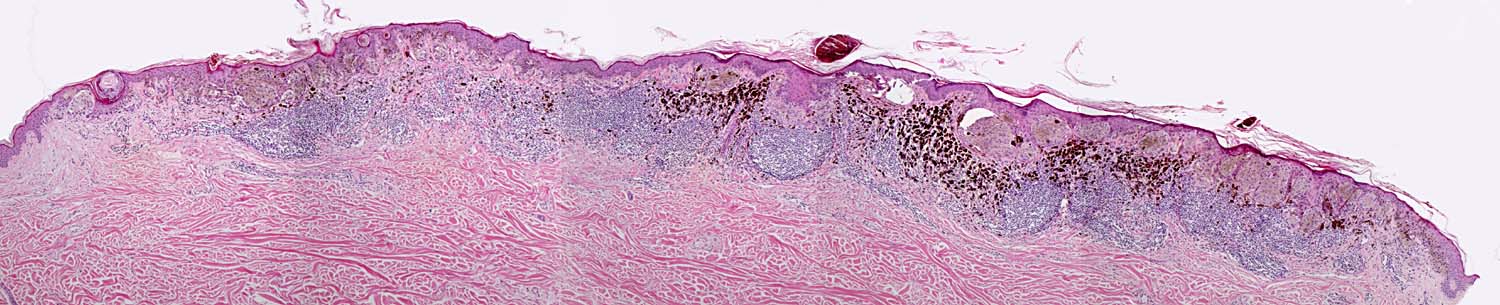
PathoPic ID 8310 - Superfiziell spreitendes Melanom
de
Diagnose
Superfiziell spreitendes Melanom
Diagnose Gruppe
maligner Tumor
Topographie
Haut, Rumpf
Topographie Gruppe
Haut
Beschreibung
Sehr grosse, irregulär verteilte und pigmentierte intraepidermale melanozytäre Zellnester. Dichtes knotiges dermales Entzündungsinfiltrat mit zahlreichen Melanophagen.
Klinik
Pigmentnävus am Rücken.
Bilder Typ
Histologie
Vergrösserung
100
Alter
83
Geschlecht
unbekannt
Datum
Ersteintrag: 13.06.2005
Update: 14.09.2005
CPS
·
©
2025 Institut für Pathologie Basel
/
Dr. med. Katharina Glatz-Krieger
.
·
v2.2