PathoPic – image database / PathoPic ID 8421 - Branchiogene Zyste

de
Diagnose
Branchiogene Zyste
Diagnose Gruppe
organspezifische Erkrankung
Topographie
Weichteile Hals
Topographie Gruppe
Weichteile
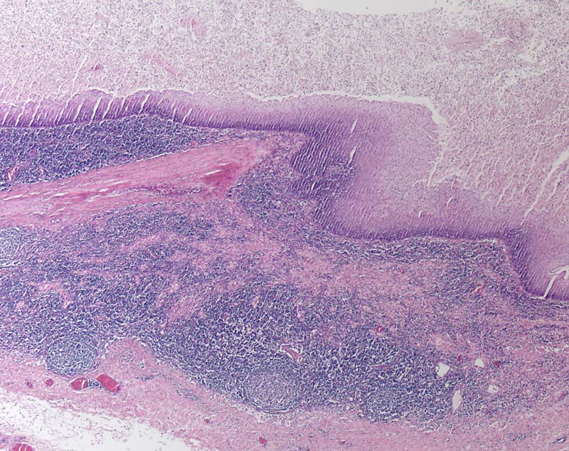
Beschreibung
Auskleidung der Zyste durch mehrschichtiges Plattenepithel. Dichtes lymphozytäres Infiltrat mit Keimzentren in der Zystenwand.
Klinik
Laterale Halszyste.
Kommentar
Embryonale Fehlbildung der Kiemenbogenfurchen. Zyste oder Fistel in Halsmitte, am Vorderrand des Sternocleidomastoideus oder präaurikulär. Auskleidung meist durch Plattenepithel, seltener durch Flimmerepithel. Dichtes lymphozytäres Infiltrat in der Zystenwand im Gegensatz zur bronchogenen Zyste.
Bilder Typ
Histologie
Vergrösserung
25
Alter
20
Geschlecht
männlich
Datum
Ersteintrag: 28.12.2005
Update: 09.01.2006