PathoPic – image database / PathoPic ID 8941 - Proliferative Myositis

de
Diagnose
Proliferative Myositis
Diagnose Gruppe
Entzündung / Reparatur
Topographie
Muskel, untere Extremität
Topographie Gruppe
Weichteile
Beschreibung
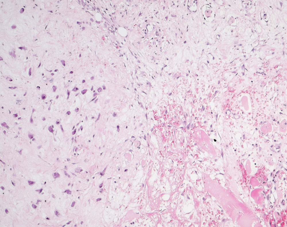
Rechts unten im Bild sind einzelne residuelle Skelettmuskelfasern zu sehen. Diese sind eingebettet in eine lockere Fibrose mit Erythrozytenextravasaten, plumpen Fibroblasten und Myofibroblasten. Links im Bild sind zahlreiche ganglionartige Riesenzellen sichtbar.
Klinik
Tumor der Muskulatur am rechten Oberschenkel.
Bilder Typ
Histologie
Vergrösserung
100
Alter
82
Geschlecht
unbekannt
Datum
Ersteintrag: 15.01.2006
Update: 29.06.2006