Wichtiger Sicherheitshinweis:
Pathorama wurde zwischen dem
26. und 27. Dezember 2025
angegriffen. Falls Sie die Website in diesem Zeitraum besucht haben, lesen Sie bitte die wichtigen Informationen hier:
Zur Information
Pathopic
HiPaKu
ZyPaKu
Projektinfos
PathoPic - Projekt- und Copyright-Info
About
Pathopic
HiPaKu
ZyPaKu
PathoPic – image database
/
PathoPic ID 908 - Warthin Tumor
de
Diagnose
Warthin Tumor
Diagnose Gruppe
benigner Tumor
Topographie
Parotis
Topographie Gruppe
Kopf & Hals, Sinnesorgane
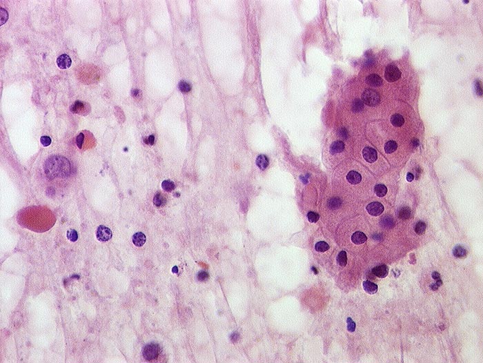
Beschreibung
Onkozytäre Zellgruppe mit fein granuliertem rotem Zytoplasma und scharfen Zellgrenzen. Runde zentralständige Zellkerne. Detritischer Hintergrund mit mononukleären Entzündungszellen.
Zusatzbefund
Scharf begrenzter bräunlicher feinzystischer Knoten in der Parotis. Aus den Zysten entleert sich eiterähnliche gelbrote Flüssigkeit.
Bilder Typ
Zytologie
Vergrösserung
630
Alter
78
Geschlecht
unbekannt
Datum
Ersteintrag: 20.12.2002
Update: 21.12.2007
CPS
·
©
2025 Institut für Pathologie Basel
/
Dr. med. Katharina Glatz-Krieger
.
·
v2.2