PathoPic – image database / PathoPic ID 9191 - Flaches Adenom der Magenantrumschleimhaut

de
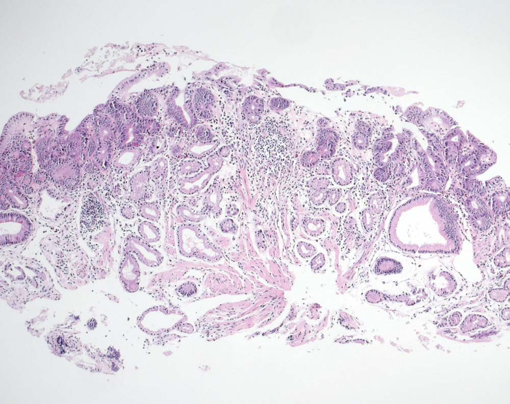
Diagnose
Flaches Adenom der Magenantrumschleimhaut
Diagnose Gruppe
Präneoplasie/ Atypie/ Dignität?
Topographie
Magenantrum
Topographie Gruppe
Oesophagus, Magen
Beschreibung
Antrumschleimhaut mit kompletter intstinaler Metaplasie und leichter Dysplasie der metaplastischen Drüsen im oberen Schleimhautdrittel. Die übrige Magenschleimhaut zeigt ein mässig dichtes chronisches Entzündungsinfiltrat und einzelnen Magendrüsenkörperzysten.
Zusatzbefund
Kein Helicobacternachweis.
Bilder Typ
Histologie
Vergrösserung
50
Alter
61
Geschlecht
männlich
Datum
Ersteintrag: 23.05.2006
Update: 26.06.2006