Pathopic
HiPaKu
ZyPaKu
Projektinfos
PathoPic - Projekt- und Copyright-Info
About
Pathopic
HiPaKu
ZyPaKu
PathoPic – image database
/
PathoPic ID 9533 - Lipom
de
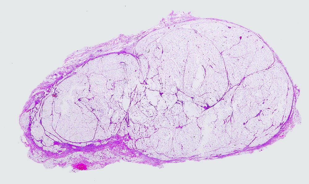
Diagnose
Lipom
Diagnose Gruppe
benigner Tumor
Topographie
Weichteile Rumpf
Topographie Gruppe
Weichteile
Beschreibung
Reifes Fettgewebe allseits von feiner Kapsel bedeckt.
Klinik
Lipom Thoraxwand rechts. Exzision in toto.
Bilder Typ
Histologie
Vergrösserung
Scan
Alter
29
Geschlecht
männlich
Datum
Ersteintrag: 06.01.2007
Update: 07.02.2008
CPS
·
©
2025 Institut für Pathologie Basel
/
Dr. med. Katharina Glatz-Krieger
.
·
v2.2