PathoPic – image database / PathoPic ID 9537 - Chondrohamartom der Lunge

de
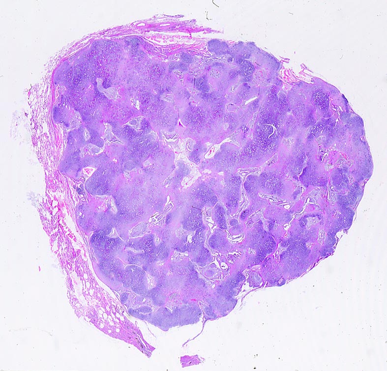
Diagnose
Chondrohamartom der Lunge
Diagnose Gruppe
angeboren /genetisch/Missbildung
Topographie
Lunge
Topographie Gruppe
Lunge, Mediastinum mit Thymus
Beschreibung
Scharf begrenzter Tumor überwiegend bestehend aus Knorpel . Zwischen den Knorpelspangen schlitzförmige von Epithel ausgekleidete Hohlräume.
Klinik
Grössenprogredienter Rundherd linker Lungenoberlappen.
Bilder Typ
Histologie
Alter
47
Geschlecht
männlich
Datum
Ersteintrag: 06.01.2007
Update: 07.02.2008