Wichtiger Sicherheitshinweis:
Pathorama wurde zwischen dem
26. und 27. Dezember 2025
angegriffen. Falls Sie die Website in diesem Zeitraum besucht haben, lesen Sie bitte die wichtigen Informationen hier:
Zur Information
Pathopic
HiPaKu
ZyPaKu
Projektinfos
PathoPic - Projekt- und Copyright-Info
About
Pathopic
HiPaKu
ZyPaKu
PathoPic – image database
/
PathoPic ID 966 - Adenomatoidtumor
de
Diagnose
Adenomatoidtumor
Diagnose Gruppe
benigner Tumor
Topographie
Nebenniere
Topographie Gruppe
Endokrinium
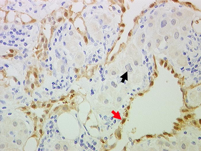
Beschreibung
Die Kerne der
►
Tumorzellen färben sich positiv an mit dem Mesothelzellmarker Calretinin. Residuelles
►
Nebennierengewebe ist negativ.
Zusatzbefund
6.5 x 4.5 x 4cm messender Tumor. Gewicht 36g. Auf Schnitt ein überwiegend solider, in den Randpartien feinzystischer schwammiger grauweisser Tumor.
Klinik
Basale Pneumonie. In der Computertomographie des Abdomens Zufallsbefund eines Nebennierentumors. Dieser wurde nach Abklingen der Pneumonie exzidiert.
Bilder Typ
Histologie
Immunhistochemie
Calretinin
Alter
54
Geschlecht
männlich
Datum
Ersteintrag: 27.11.2001
CPS
·
©
2025 Institut für Pathologie Basel
/
Dr. med. Katharina Glatz-Krieger
.
·
v2.2