PathoPic – image database / PathoPic ID 9712 - Akuter Niereninfarkt: Koagulationsnekrose

de
Diagnose
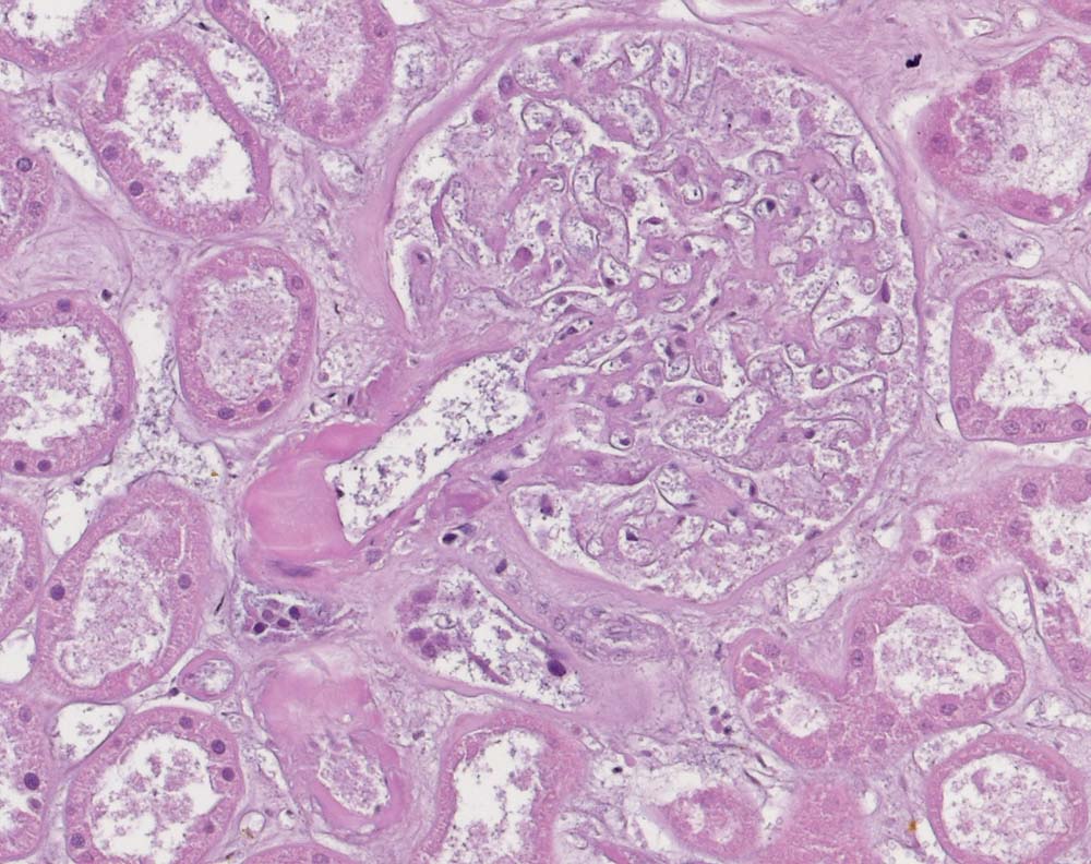
Akuter Niereninfarkt: Koagulationsnekrose
Diagnose Gruppe
vaskulär / Durchblutungsstörung
Topographie
Niere
Topographie Gruppe
Niere, Harnwege
Beschreibung
Bild aus dem Zentrum des Infarktes: Koagulationsnekrose mit nur noch schattenhaft erkennbarem Parenchym. Die Kerne sind stark abgeblasst.
Zusatzbefund
Schwere allgemeine Atherosklerose. Morbus embolicus: Embolien in Nieren, Dünndarm und Hirn.
Klinik
Metabolisches Syndrom. Myokardinfarkt.
Bilder Typ
Histologie
Vergrösserung
200
Alter
77
Geschlecht
männlich
Datum
Ersteintrag: 04.07.2007
Update: 07.02.2008