PathoPic – image database / PathoPic ID 9747 - Mammakarzinom: Lymphknotenmetastase mit Regression

de
Diagnose
Mammakarzinom: Lymphknotenmetastase mit Regression
Diagnose Gruppe
Therapiefolgen
Topographie
Lymphknoten, Axilla
Topographie Gruppe
Lymphatische Gewebe, KM, Milz
Beschreibung
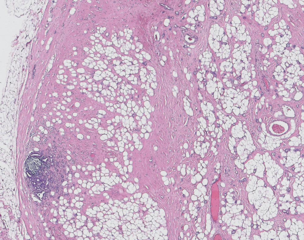
Vitale Metastase eines invasiv duktalen Mammakarzinoms mit fokaler Sklerose als Ausdruck einer Tumorregression nach neoadjuvanter Chemotherapie. Ausserdem reichlich Fettgewebsmetaplasie. Links im Bild ist wenig residuelles Lymphknotengewebe zu sehen.
Zusatzbefund
Hochdifferenziertes invasiv duktales Mammakarzinom mit Vernarbung von ca. 30% des Tumorgewebes.
Klinik
Lymphknotenmetastasen eines neoadjuvant vorbehandelten hoch differenzierten invasiv duktalen Mammakarzinoms.
Kommentar
Als Antwort auf die neoadjuvante Chemotherapie zeigen Lymphknotenmetastasen Hyalinisierungsfelder, Makrophagen und Schleimseen. In bis zu 30% kommt es zur vollständigen Tumorregression. In diesen Fällen sind lediglich kleine subkapsuläre Narbenfelder nachweisbar. Das Ausmass der regressiven Veränderungen ist in den Lymphknotenmetastasen meist etwas geringer als im Primärtumor, korreliert aber in der Regel mit dem Ansprechen des Primärtumors.
Bilder Typ
Histologie
Vergrösserung
25
Alter
65
Geschlecht
unbekannt
Datum
Ersteintrag: 06.08.2007
Update: 09.01.2008