PathoPic – image database / PathoPic ID 9761 - Chemisch reaktive Gastrophatie (Typ C Gastritis)

de
Diagnose
Chemisch reaktive Gastrophatie (Typ C Gastritis)
Diagnose Gruppe
Therapiefolgen
Topographie
Magenantrum
Topographie Gruppe
Oesophagus, Magen
Beschreibung
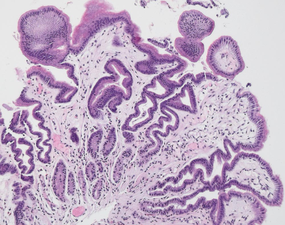
Antrumschleimhaut mit korkenzieherartig gewundenen und stark verlängerten Foveolae. Fibromuskuläre Stromaobliteration und erweiterte Kapillaren in der Lamina propria. Kein Entzündungsinfiltrat.
Zusatzbefund
Kein Helicobacter
Klinik
Oberbauchschmerz. Erosionen Antrum. Aspirin-Einnahme.
Bilder Typ
Histologie
Vergrösserung
100
Alter
76
Geschlecht
männlich
Datum
Ersteintrag: 03.09.2007
Update: 13.02.2008