PathoPic – image database / PathoPic ID 9802 - Nekrotisierende Fasziitis bei Gasbrand

de
Diagnose
Nekrotisierende Fasziitis bei Gasbrand
Diagnose Gruppe
Entzündung infektiös
Topographie
Weichteile Becken
Topographie Gruppe
Weichteile
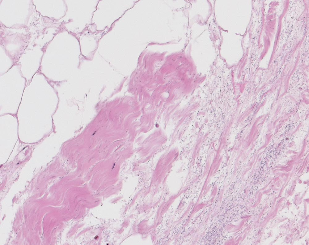
Beschreibung
Nekrotisches ödematöses Fasziengewebe und subkutanes Fettgewebe mit massenhaft Stäbchenbakterien (vereinbar mit Clostridium perfringens) und wenigen Kokkenbakterien.
Zusatzbefund
Schwere, nekrotisierende Fasciitis und Myositis mit frischer hämorrhagischer Nekrose der Haut und frischen, weitgehend areaktiven Nekrosen des subkutanen Fettgewebes und der Skelettmuskulatur.
Klinik
1. Verdacht auf nekrotisierende Fasciitis (Gasbrand). Musculus gluteus maximus links und Haut Weichteile. 2. Musculus biceps femoris links. Vitalität?
Kommentar
Gasbrand wird ausgelöst durch Exotoxin produzierende Clostridien (meist Clostridium perfringens), welches im Boden oder in der normalen Darmflora vorkommt. Grundlegend ist der Sauerstoffmangel (Clostridien sind anaerobe Erreger). Begünstigend sind die Minderdurchblutung durch Weichteilquetschung, Nekrosen, Schock, Begleiterkrankungen wie Diabetes mellitus und maligne Tumore. Zusätzlich bringt die Verschmutzung der Wunde eine Infektion mit aeroben (sauerstoffverbrauchenden) Erregern mit sich, was den Sauerstoffmangel im infizierten Gewebe fördert und somit die Lebensbedingungen für die Clostridien verbessert.
Bilder Typ
Histologie
Vergrösserung
200
Alter
65
Geschlecht
männlich
Datum
Ersteintrag: 11.12.2007
Update: 28.02.2008