Pathopic
HiPaKu
ZyPaKu
PathoBasic
PathoBasic Cytology
Quizzes
Projektinfos
PathoPic - Projekt- und Copyright-Info
About
Pathopic
HiPaKu
ZyPaKu
PathoBasic
PathoBasic Cytology
Quizzes
PathoPic – Bilddatenbank
de
Suche
Filtern
0
Schließen
Filter
Topographie Gruppen
Topographien
Diagnose Gruppen
Färbungen
Immunhistochemie
Vergrösserungen
Serien
Bilder Typen
Geschlecht
Aktive Filter
Suche: Poststreptokokken Glomerulonephritis
Filter löschen
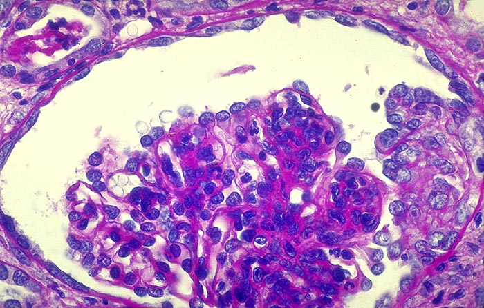
Bild-Id: 2201
Diagnose: Endokapilläre Glomerulonephritis
Alter: -99
Geschlecht: männlich
Färbung: PAS
Bilder Typ: Histologie
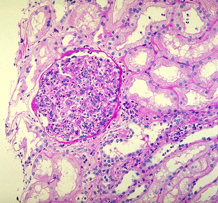
Bild-Id: 2198
Diagnose: Endokapilläre Glomerulonephritis: mesangiale Zellproliferation
Alter: 12
Geschlecht: männlich
Färbung: HE
Bilder Typ: Histologie
Bild-Id: 1954
Diagnose: Extrakapillär betonte Glomerulonephritis: segmentaler Halbmond
Alter: 7
Geschlecht: männlich
Färbung: PAS
Bilder Typ: Histologie
Zeige 1 bis 3 von 3 Ergebnissen
10
25
50
100
pro Seite
pro Seite
10
25
50
100
CPS
·
©
2024 Institut für Pathologie Basel
/
Dr. med. Katharina Glatz-Krieger
.
·
v2.1