Wichtiger Sicherheitshinweis: Pathorama wurde zwischen dem 26. und 27. Dezember 2025 angegriffen. Falls Sie die Website in diesem Zeitraum besucht haben, lesen Sie bitte die wichtigen Informationen hier:
Zur Information

Staats/ Extrakapilläre Glomerulonephritis

Diagnose
Extrakapilläre Glomerulonephritis
Diagnose Gruppe
Systemerkrankung/Immunpathologie
Differenzialdiagnose
Topographie Gruppe
Niere, Harnwege
Topographie
Niere
Einleitung
Definition:
Die extrakapilläre Glomerulonephritis ist definiert als Glomerulonephritis mit Halbmonden in mehr als 50 bzw. 75% der Glomeruli (je nach Definition).

Aetiologie und Pathogenese:
Die Zusammenfassung von ätiologisch und pathogenetisch unterschiedlichen Glomerulonephritiden (Goodpasture Syndrom 3%, Immunkomplex Glomerulonephritis 45%, Pauci-Immun Glomerulonephritis 50%) in der Gruppe der extrakapillär-betonten Glomerulonephritis ergibt sich aus der gleichartigen Klinik (rapid progressive Glomerulonephritis) und Prognose (sehr schlecht mit irreversibler terminaler Niereninsuffizienz bei Halbmonden in mehr als 75% der Glomeruli und initialer Oligoanurie).

Morphologie:
Histologisch entscheidend für die Diagnose einer extrakapillären Glomerulonephritis sind glomeruläre Nekrosen mit Fibrinexsudation und der Nachweis fibrindurchtränkter glomerulärer Halbmonde. Halbmondbildungen allein sind nicht spezifisch für die extrakapilläre Glomerulonephritis. Sie finden sich auch bei anderen glomerulären Erkrankungen. Das Ausmass der glomerulären Läsionen ist äusserst variabel. Alle Übergänge von segmentalen und fokalen bis zu diffusen und globalen Veränderungen kommen vor. Früh- und Spätveränderungen liegen oft unmittelbar nebeneinander. Spätveränderungen umfassen segmental und fokal sklerosierte Glomeruli oder globale Glomerulusverödungen (> 1951).
Immunhistochemisch lassen sich beim Goodpasture Syndrom lineare Antibasalmembran Antikörper nachweisen und bei einer Immunkomplex Glomerulonephritis granuläre Immunkomplexe. Bei den Pauci-Immun Glomerulonephritiden (Polyarteritis nodosa Mischform oder Mikroform und Granulomatose mit Polyangiitis (Morbus Wegener)) hingegen lassen sich Immunglobuline (IgM, selten andere) und Komplementkomponenten lediglich innerhalb der Nekrosen, nicht aber in den gut erhaltenen glomerulären Kapillaren nachweisen. Serologisch finden sich oft c-ANCA (Granulomatose mit Polyangiitis (=Morbus Wegener)) oder p-ANCA (mikroskopische Polyangiitis).
Elektronenmikroskopisch erkennbar sind Basalmembranrupturen (> 1964), Fibrinpräzipitate und proliferierte Zellelemente im Bereich der Nekrosen.
Klinik
Symptomatik:
Die nekrotisierende extrakapilläre Glomerulonephritis äussert sich klinisch als rapid progressive Glomerulonephritis mit Verlust von mindestens 50% der glomerulären Filtrationsrate innerhalb von wenigen Tagen bis 3 Monaten. Patienten mit Granulomatose mit Polyangiitis (alte Bezeichnung: Morbus Wegener) zeigen oft eine Kombination von entzündlichen Läsionen im oberen Respirationstrakt, Lungeninfiltrate (> 4430) mit Lungenblutungen und ein Nierenversagen (ca. 70% der Patienten mit Granulomatose mit Polyangiitis zeigen eine nekrotisierende Glomerulonephritis). In der Prodromalphase einer ANCA assoziierten Vaskulitis zeigen die Patienten grippeartige Symtpome mit Fieber, Arthralgien, Myalgien, Anorexie und Gewichtsverlust.

Diagnostik:
Bei Verdacht auf rapid progressive Glomerulonephritis sollten Serumuntersuchungen auf Antibasalmembran Antikörper und ANCAs durchgeführt werden. Der Nachweis von c-ANCA zeigt mit einer Spezifität von etwa 90% und einer Sensitivität von fast 95% eine Granulomatose mit Polyangiitis an. Die mikroskopische Polyangiitis hingegen ist assoziiert mit p-ANCA.

Therapie:
Die Therapie einer ANCA assoziierten Erkrankung besteht aus einer Kombination von Kortikosteroiden und Cyklophosphamid. Prognostisch entscheidend für die Nierenfunktion ist der Serumkreatininwert zum Zeitpunkt der Diagnosestellung. Eine frühe Diagnosestellung mit raschem Therapiebeginn ist deshalb sehr wichtig.
Normalbefund
Morphologie
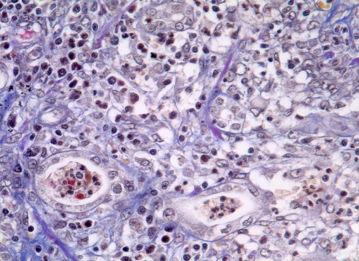
Morphologische Befunde:
  • Fast alle Glomerula zeigen frische Schlingennekrosen und frischen segmentale oder globale Halbmonde (Zellproliferation ohne Matrixbildung) im Bowman' Kapselraum.
  • Segmentale Schlingennekrosen mit exsudiertem Fibrin (orange) und Protein (rot).
  • In einem Teil der Glomerula Ruptur der Bowman’schen Kapsel und periglomeruläre Entzündung.
  • Interlobäre Arterien mit sektorförmiger nekrotisierender Vaskulitis.
  • Lymphohistiozytäre und teils granulozytäre Entzündung im tubulointerstitiellen Raum.
  • Hyalintropfige Eiweissspeicherung in proximalen Tubuli
Das sollte der Kliniker dem Pathologen mitteilen:
  • Resultate der ANCA-Tests.
  • Nierenfunktion.
  • Urinbefund.
  • Zeitlicher Verlauf der Erkrankung.
  • Beteiligung extrarenaler Organe.
Makroskopie
Befund
Pathologischer Befund
Normalbefund
Datum
Ersteintrag: 10.07.2019
Update: 10.07.2019