Wichtiger Sicherheitshinweis: Pathorama wurde zwischen dem 26. und 27. Dezember 2025 angegriffen. Falls Sie die Website in diesem Zeitraum besucht haben, lesen Sie bitte die wichtigen Informationen hier:
Zur Information

Staats/ Colitis ulcerosa

Diagnose
Colitis ulcerosa
Diagnose Gruppe
Entzündung / Reparatur
Differenzialdiagnose
Topographie Gruppe
Darm, Anus
Topographie
Kolon links
Einleitung
Aetiologie:
Die Colitis ulcerosa gehört zusammen mit dem Morbus Crohn zu den idiopathischen chronischen schubweise verlaufenden entzündlichen Erkrankungen mit Manifestation im Kolon und gelegentlich im terminalen Ileum. Ätiologie und Pathogenese sind wie beim Morbus Crohn nicht vollständig geklärt. Immunologische, genetische und Umweltfaktoren scheinen eine Rolle zu spielen.

Morphologie:
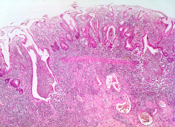
Die Colitis ulcerosa beginnt im Rektum (> 2758) und breitet sich kontinuierlich nach proximal aus. In 10% ist das gesamte Kolon (> 3364) befallen und es besteht zusätzlich eine back-wash-Ileitis im terminalen Ileum. Das Rektum ist bei unbehandelten Patienten praktisch immer befallen. Nach topischer Therapie kann das Rektum ausgespart sein und nach längerem Krankheistverlauf ist auch ein segmentaler Befall möglich. Bei fehlenden klinischen Angaben (Dauer der Erkrankung, Therapie) können diese atypischen Manifestationen diagnostische Schwierigkeiten verursachen. Makroskopisch finden sich häufig longitudinal ausgerichtete Ulzera mit Querverbindungen und Konfluenz. Residuelle Schleimhautinseln imponieren als Pseudopolypen. In der Remissionsphase ist die Schleimhaut glatt und blass, das Faltenrelief ist vergröbert und verstrichen und es finden sich häufig Granulationsgewebspolypen. Mikroskopisch findet sich je nach Entzündungsaktivität eine mehr oder weniger ausgeprägte diffuse Verdichtung des lymphoplasmazellulären Entzündungsinfiltrates mit Beimischung von Granulozyten in Form einer Kryptitis oder von Kryptenabszessen. Bei einer stark aktiven Entzündung finden sich zusätzlich Erosionen und Ulzera mit Ausdehnung der Entzündung über die Mukosa hinaus in die Submukosa oder in noch tiefere Schichten bei hochflorider Kolitis. Die Kryptenarchitektur ist gestört, die Anzahl der Krypten und der Becherzellen vermindert. In der Regeneratphase finden sich zahlenmässig reduzierte und verkürzte Krpyten mit normaler Anzahl Becherzellen. Meist bleibt eine leichte Verdichtung der Entzündungszellen in der Lamina propria bestehen.
Klinik
Vorkommen:
Die jährliche Inzidenz liegt bei 10-12/100'000 Einwohner, die Prävalenz bei 35-100/100'000. Die Erkrankung kann in jedem Alter auftreten, ist aber am häufigsten bei 15 bis 25 Jährigen und bei 55 bis 65 Jährigen.

Symptomatik:
Die Patienten haben häufig Episoden von rektalen Blutungen mit oder ohne Schleimabgänge, Tenesmen, abdominale Krämpfe, imperativer Stuhldrang und Gewichtsverlust bei schweren Fällen. Zu den extrakolischen Manifestationen gehören Synovialitis, ankylosierende Spondylitis, Sacroileitis, Erythema nodosum, Pyoderma gangraenosum, aphthöse Stomatitis, Episkleritis, Iritis, primär sklerosierende Cholangitis und Harnsäuresteine.

Diagnostik:
Bei Verdacht auf eine chronisch entzündliche Darmerkrankung (IBD) sollten bei der Kolonoskopie Biopsien aus allen Abschnitten des Dickdarmes und aus dem distalen Ileum entnommen und in getrennten Gefässen mit Lokalisationsbezeichnung eingesandt werden. Biopsien sollten auch aus denjenigen Abschnitten entnommen werden, welche endoskopisch normal erscheinen.

Therapie:
Ziel der medikamentösen Therapie mit antiinflammatorischen, antimikrobiellen und immunsuppressiven Substanzen ist eine Verminderung von Morbidität und Komplikationen. Die Indikation zur Kolektomie besteht bei dysplastischen Veränderungen oder Karzinom (bei Colitis ulcerosa häufiger als bei Morbus Crohn), bei chronisch refraktärer Kolitis, schweren Blutungen oder Perforation, therapierefraktärer fulminanter Kolitis (> 615) oder toxischem Megakolon, Obstruktion, systemischen Komplikationen und Gedeihstörung bei Kindern.
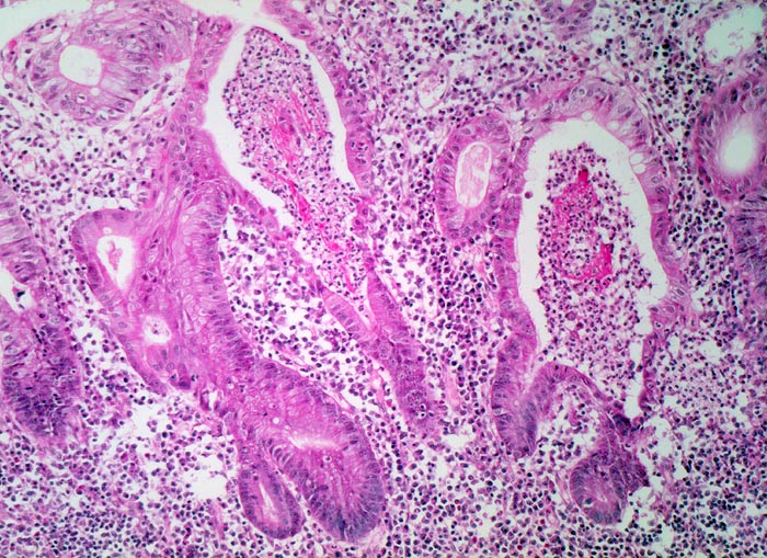
Morphologie
Morphologische Merkmale:
  • Abwechslungsweise oberflächliche Ulzera und pseudopolypöse Schleimhautvorwölbungen.
  • Entzündungsinfiltrate in Mukosa und Submukosa.
  • Unregelmässig geformte und verzweigte Krypten (Kryptenarchitekturstörung).
  • Krpyten enden deutlich oberhalb der Lamina muscularis mucosae (Kryptenatrophie).
  • Verminderte Schleimbildung und Becherzellverlust.
  • Basal betonte Plasmozytose und Infiltrate neutrophiler Granulozyten.
  • Ansammlungen neutrophiler Granulozyten in Kryptenlumina (=Kryptenabszesse) und Infiltrate von neutrophilen Granulozyten im Kryptenepithel (=Kryptitis).
Das sollte der Kliniker dem Pathologen mitteilen:
  • Endoskopischer Befund mit Befallsmuster.
  • Vorliegen dysplasieverdächtiger oder karzinomverdächtiger Läsionen.
  • Vorbefunde und bisheriger Verlauf.
  • Therapie.
Praxis-Tipp:
  • Bei multiplen Entnahmen Biopsiestellen in Schema einzeichnen und Proben aus verschiedenen Darmregionen in separaten Gefässen einsenden.
Virtuelles Präparat
Befund
Pathologischer Befund
Normalbefund
Datum
Ersteintrag: 17.11.2018
Update: 17.11.2018