Wichtiger Sicherheitshinweis: Pathorama wurde zwischen dem 26. und 27. Dezember 2025 angegriffen. Falls Sie die Website in diesem Zeitraum besucht haben, lesen Sie bitte die wichtigen Informationen hier:
Zur Information

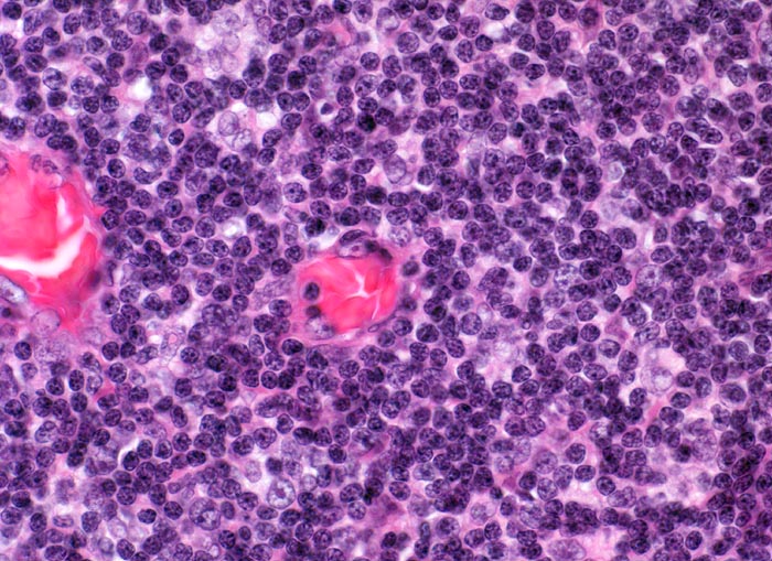
Basel 1MA/ Klassisches Hodgkin-Lymphom, noduläre Sklerose

Diagnose
Klassisches Hodgkin-Lymphom, noduläre Sklerose
Diagnose Gruppe
maligner Tumor
Topographie Gruppe
Lymphatische Gewebe, KM, Milz
Topographie
Lymphknoten, mediastinal
Einleitung
Histogenese:
Es konnte gezeigt werden, daß die Tumorzellen (Hodgkin Zellen, Reed Sternberg Zellen) des Hodgkin Lymphoms klonal sind und in der Regel von B-Zellen des Keimzentrums abstammen. In sehr seltenen Fällen leiten sich die Tumorzellen auch von T-Zellen her.

Klassifikation
Die WHO-Klassifikation des Hodgkin-Lymphoms zeigt eine grundsätzliche Zweiteilung in die seltene Variante des nodulären Lymphozyten-prädominanten Hodgkin Lymphoms (NLPHL,5%) und das klassische Hodgkin Lymphom (cHL,95%), das weiter in vier Subtypen eingeteilt wird: Lymphozytenreicher Typ, nodulär sklerosierender Typ, Mischtyp, lymphozytenarmer Typ. NLPHL und cHL unterscheiden sich klinisch, morphologisch und immunphänotypisch voneinander. Immunphänotyp der Tumorzellen des Lymphozyten prädominanten Typs (CD20+, CD45+, CD30-, CD15-, EBV-), des klassischen Typs (CD30+, CD15+, EBV-/+, CD20-/+, CD45-).

Lokalisation:
Das Hodgkin-Lymphom befällt primär lokal eine Lymphknotengruppe, meist des Halses und breitet sich entlang des lymphatischen Gewebes aus. Bei nodulärer Sklerose (ca 70% aller cHL) findet sich in den meisten Fällen eine mediastinale Tumormasse.

Morphologie:
Histologisch charakteristisch für diesen Subtyp sind Sklerose, noduläres Wachstumsmuster und Lakunarzellen. Bei der nodulären Sklerose können Grad I und Grad II (15-25%) Lymphome unterschieden werden; unter modernen Therapiekonzepten allerdings ohne prognostische Bedeutung

update 8. August 2017
Klinik
Vorkommen:
Das cHL zeigt eine bimodale Altersverteilung mit einer hohen Inzidenz bei 10-35 Jährigen und im späten Erwachsenenalter.

Symptomatik:
Die befallenen Lymphknoten sind schmerzlos vergrössert. Eine B-Symptomatik ist oftmals vorhanden. Anämie und/oder Pruritus liegen bei rund einem Viertel der Patienten vor. Etwa 50% der Patienten sind im Stadium I oder II.

Therapie:
Die stadienadaptierte Therapie umfasst meist eine kombinierte Radio/Chemotherapie. Neue, zielgerichtete Therapien sind gegewärtig in Entwicklung (anti-CD30 Antikörper-Zytostatikum Konjugat).

Prognose:
Ohne Behandlung verläuft das cHL mässig aggressiv. Mit Behandlung beträgt das Langzeitüberleben ca 80-90%.

update 8. August 2017
Normalbefund
Morphologie
Morphologische Merkmale:
  • Zerstörung der Lymphknotenarchitektur.
  • Von breiten Bindegewebssträngen abgegrenzte Knoten.
  • Die Knoten bestehen vorwiegend aus einem Mischzellinfiltrat reaktiver Zellen: Lymphozyten, Histiozyten, eosinophile Granulozyten und Plasmazellen.
  • Reed-Sternbergzelle mit spiegelbildlich angeordneten Kernen mit sehr grossen eosinophilen Nukleolen.
  • Einkernige Hodgkinzelle mit prominentem Nukleolus umgeben von einem Retraktionsartefakt (Lakunarzelle).
Das sollte der Kliniker dem Pathologen mitteilen:
  • Ausdehnung der Erkrankung.
  • Verdacht auf infektiöse Erkrankung (Bsp. Mononukleose, Parasiten).
Praxis-Tipp:
  • Gewebe sofort frisch einsenden in mit NaCl getränkter steriler Gaze (Entnahme von Material für molekularbiologische Untersuchungen, zytologischer Abstrich).
  • Lymphknoten nicht quetschen und Kauterartefakte vermeiden.
Makroskopie
Befund
Pathologischer Befund
Normalbefund
Datum
Ersteintrag: 10.07.2019
Update: 10.07.2019