Wichtiger Sicherheitshinweis: Pathorama wurde zwischen dem 26. und 27. Dezember 2025 angegriffen. Falls Sie die Website in diesem Zeitraum besucht haben, lesen Sie bitte die wichtigen Informationen hier:
Zur Information

Basel 1MA/ Morbus Basedow

Diagnose
Morbus Basedow
Diagnose Gruppe
Systemerkrankung/Immunpathologie
Topographie Gruppe
Endokrinium
Topographie
Schilddrüse
Einleitung
Aetiologie:
Bem Morbus Basedow besteht eine diffuse Hyperplasie der Schilddrüse auf dem Boden einer organspezifischen Autoimmunerkrankung mit nachweisbaren Autoantikörpern gegen den TSH-Rezeptor (TSH-R-Ak; bis 99% positiv), Thyreoglobulin (TG-Ak) und die Schilddrüsenperoxidase (TPO-Ak; 75% positiv). Der Morbus Basedow und die Hashimoto-Thyreoiditis gehören in die Kategorie der Immunthyreopathien. Beide Erkrankungen können im Verlauf der Zeit ineinander übergehen.

Morphologie:
Makroskopisch ist die Schilddrüse symmetrisch vergrößert, hyperämisch und von einer zarten Kapsel umgeben. Das Gewicht der Schilddrüse beträgt zwischen 50 und 150 g. Die Schnittfläche ist grob lobuliert und dunkelrot-fleischig. Das histologische Bild ist maßgeblich abhängig vom Therapiezustand. Bei nicht vorbehandelten Basedow-Strumen (derartige Präparate wird der Pathologe heute kaum mehr zur Untersuchung erhalten) erkennt man eine Parenchymhyperplasie und -hypertrophie. Mikroskopisch ist der Erhalt der lobulären Struktur der Schilddrüse typisch. Die endokrine Überfunktion ist erkennbar an kleinen Follikeln, die von einem hochprismatischen Epithel ausgekleidet werden, makropapillären Proliferaten (> 841) und der Ausbildung von Sanderson'schen Polstern (> 836). Papilläre Epithelprotrusionen in das Follikellumen mit fibrovaskulärem Stroma können an ein papilläres Karzinom erinnern. Zwischen den Follikeln finden sich herdförmige lymphoplasmazelluläre Entzündungsinfiltrate. Die anti-TSH Rezeptor Antikörper werden von Plasmazellen in der Schilddrüse gebildet. Die Follikel enthalten wenig blasses oder kein Kolloid. Im Randbereich der Follikel sind typische Resorptionsvakuolen (Fixierungsartefakt!) nachweisbar. Präoperativ verabreichtes Jod führt zu einer Abflachung des Follikelepithels, einer fokal vermehrten Kolloideinlagerung sowie einer deutlich verstärkten Vaskularisierung der Schilddrüse. Eine Radiojodtherapie ist mit leichten bis deutlich ausgeprägten Kernveränderungen (Hyperchromasie, Pleomorphie) als auch beträchtlicher Follikeldestruktion, Fibrose und oxyphiler Epithelmetaplasie assoziiert. Thyreostatika mit Einfluss auf die Hormonsynthese (z. B. Thioharnstoffderivate) fördern über einen negativen Feedback-Mechanismus durch andauernde TSH-Stimulation die Hyperplasie der Schilddrüse. Behandlung mit beta-adrenergen verursachen keine morphologischen Veränderungen.

Differentialdiagnose:
Differenzialdiagnostisch bereitet die Unterscheidung von papillären Karzinomen Probleme. Psammomkörperchen können auch ohne das Vorliegen eines papillären Karzinoms in Basedow-Strumen gefunden werden. Die ausgeprägte Hyperplasie des Schilddrüsengewebes bei der Basedow-Krankheit kann auch das angrenzende Muskelgewebe miteinbeziehen und ein organüberschreitend infiltrierendes papilläres Karzinom vortäuschen. Das Fehlen der typischen zytologischen Charakteristika des papillären Karzinoms sollte jedoch den Ausschluss eines Karzinoms erlauben. Einiges weist allerdings darauf hin, dass bei der Basedow-Krankheit eine erhöhte Inzidenz an (papillären) Schilddrüsenkarzinomen besteht
Klinik
Vorkommen:
In Gebieten mit guter Jodversorgung ist die immunogene Hyperthyreose mit 70–90% der Hyperthyreosefälle deren häufigste Ursache. Der Morbus Basedow betrifft bis zu 2% aller Frauen und ist bei Frauen zehnmal häufiger als bei Männern. Die Erkrankung beginnt selten vor der Adoleszenz, typischerweise zwischen dem 20. und 50. Altersjahr.

Symptomatik:
Zeichen und Symptome eines Morbus Basedow sind bei 70-90% der Patienten eine diffus vergrösserte Schilddrüse und Symptome einer Hyperthyreose (erhöhte Herzfrequenz, eventuell Exophthalmus, Tremor, Schwitzen, Palpitationen, weiche feuchte Haut, Diarrhoe, Schlaflosigkeit, Aufmerksamkeitsstörungen, Nervosität und Gewichtsverlust). Die Bezeichnung Basedow-Krankheit impliziert streng genommen die Kombination der Hyperthyreose mit einer Struma, Tachykardie und endokriner Orbitopathie (Merseburger Trias). In der überwiegenden Zahl der Fälle entwickelt sich eine synchron auftretende endokrine Orbitopathie.

Diagnostik:
Die Diagnose erfodert den Nachweis eines supprimierten TSH Spiegels und erhöhte Werte von freiem Thyroxin FT4 und/oder Trijodthyroxin T3. Die schwerste Manifestation ist die potentiell lebensbedrohliche thyreotoxische Krise mit einer Mortalität von fast 100% ohne Behandlung. Die Mortalität sinkt unter adäquater Behandlung auf 20%. Die Patienten müssen über die Gefahr einer thyreotoxischen Krise nach Jodadministration (Kontrastmittel!) aufgeklärt werden. Der Nachweis einer Hyperthyreose ohne Struma diffusa muss an die Möglichkeit einer exogenen Hormonzufuhr denken lassen (z.B. Medikamentennebenwirkung).

Therapie:
Keine der bekannten Therapien ist voll zufriedenstellend, weil keine die eigentliche Ursache der Erkrankung anzugehen vermag. In erster Linie werden Thyreostatika verabreicht. Bei Struma mit Lokalsymptomen oder Rezidiv nach Thyreostatika kann eine subtotale Thyreoidektomie durchgeführt werden. Bei fehlender Struma, Inoperabilität oder Rezidiv nach Operation bleibt als letzte Möglichkeit die Radiojodablation.
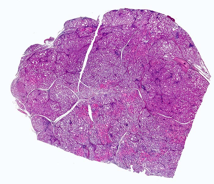
Morphologie
Morphologische Befunde:
  • Das Präparat stammt von einem Patienten mit therapierefraktärem Morbus Basedow.
  • Lobuliertes Parenchym ohne Knoten.
  • Lymphfollikel mit Keimzentren.
  • Interstitielle plasmazelluläre Infiltrate.
  • Gruppen von Schilddrüsenfollikeln mit Zeichen der gesteigerten hormonellen Aktivität: hochprismatisches Epithel, helles oder fehlendes Kolloid, grosse Zellkerne, Kolloid mit Resorptionsvakuolen.
  • Herdförmig ist das Epithel mehrschichtig (hyperplastisch) und bildet papillenähnliche Strukturen (Sanderson'sche Polster).
Das sollte der Kliniker dem Pathologen mitteilen:
  • Schilddrüsenfunktion.
  • Autoantikörper.
  • Vorbehandlung (Thyreostatika, Radiojodtherapie).

update 18.10.2017
Makroskopie
Befund
Pathologischer Befund
Normalbefund
Datum
Ersteintrag: 10.07.2019
Update: 10.07.2019