Wichtiger Sicherheitshinweis: Pathorama wurde zwischen dem 26. und 27. Dezember 2025 angegriffen. Falls Sie die Website in diesem Zeitraum besucht haben, lesen Sie bitte die wichtigen Informationen hier:
Zur Information

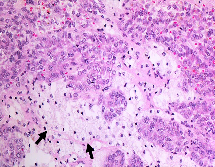
l/ Maligner Pleuraerguss: Papilläres Nierenzellkarzin

Diagnose
Maligner Pleuraerguss: Papilläres Nierenzellkarzin
Diagnose Gruppe
maligner Tumor
Differenzialdiagnose
Topographie Gruppe
Körperhöhlen, Serosa
Topographie
Pleuraerguss Zytologie
Einleitung
Die papilliformen Verbände des papillären Nierenzellkarzinoms können mit pseudopapillären Verbänden reaktiver Mesothelien verwechselt werden. Die Positivität für BerEP-4 und die Negativität für den Mesothelmarker Calretinin bestätigen die Karzinomdiagnose.
Klinik
-
Normalbefund
Morphologie
Makroskopie
Virtuelles Präparat
Befund
Pathologischer Befund
Normalbefund
Literatur
Datum
Ersteintrag: 01.04.2003
Update: 01.04.2003